牙齿以洁白为美的标准,因此电视电影广告当中的模特一口洁白靓丽的牙齿是很多人羡慕的对象。但是对于四环素牙的患者来说,洁白靓丽的牙齿似乎是个遥远的梦想,给生活带来的很多的不方便。那么四环素牙应该怎么治疗呢?【炫彩美白特惠】

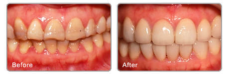
专家介绍说道,四环素牙是一种色素牙,患者的牙齿通常是棕黄色、灰褐色或更深,此外由于牙釉质发育不全,牙齿表面会有裂纹、残缺,坑坑洼洼的一般难看,严重影响个人形象和美观。而四环素牙的治疗方法根据不同的时期,也会有不同的方法。
四环素牙分类及治疗方法:
1、轻度四环素牙:白垩色不透明区至少累及患牙牙面的一半,牙齿无光泽,牙体肥厚,有时候还会看到牙齿表面被磨损掉。轻度四环素牙可以使用冷光美白和炫彩美白,效果明显。>>>为什么不洗牙,要美白!点击咨询
2、中度四环素牙:有明显的磨损,有些四环素牙已经是棕色。使用一般的美白已经难达成效,可以使用圣贝微贴面,它具有形态逼真、不伤原牙微磨牙寿命长等特点。不仅坚固、长久、稳定,而且不易着色。
3、重度四环素牙:牙齿被破坏,牙齿广泛着色,妻颜色科接近黑色,牙齿看上去有侵蚀的外观。对于这个时期的四环素牙,基本原因不能继续保留。亲贝珐琅冠和美容冠色泽美观、仿生物设计、坚固耐用,是重度四环素牙很好的治疗方案。>>>我需要什么!点击咨询

广州越秀圣贝口腔门诊部隶属牙科医疗连锁品牌“圣贝牙科”旗下,在中国北京、广州、广州、成都等地设有分店,实现一店看牙、全国联保、终生服务的连锁体系,让患者在不同城市都能充分享受圣贝优牙服务!

请输入您的电话号码并点击“给我回电”,我院专家会在10钟之内给您电话回访。