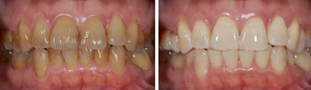
四环素牙是一种较为常见的口腔疾病,不仅会影响牙齿色泽,还可能引起牙釉质发育不全,给人们的生活带来极大的影响。所以,对于四环素牙应该及时到正规专业的医院治疗。那么,四环素牙该怎么治疗呢?

广州越秀圣贝口腔门诊部专家表示:四环素牙不仅会严重影响牙齿美观外,还会引起牙釉质发育不完全,导致牙齿矿化,从而引发各种口腔疾病,因此要及时治疗。四环素牙的治疗方法有多种,患者应根据不同的四环素牙的程度,采取相对应的治疗方式。>>>咨询牙管家更清楚
【四环素牙该怎么治疗】
、轻度四环素牙:轻度的四环素牙可以采取——炫彩美白,是目前流行的牙齿美白方法,对人无害,效果极佳,而且美白效果可以维持到3—5年的时间,甚至更久。【阅读:四环素牙美白需要多久】
第二、重度四环素牙:重度的四环素牙可以采取——5D瓷贴面,不光是形状还是色泽上都是和真牙一样,生物相容性好,不会伤害牙齿,有利于牙龈的健康,也是明星们修复牙齿的之一。>>>详情点击咨询牙管家
【专家提示】在选择治疗四环素牙的时候重要的是选择一家正规的医院,只有这样才能保证四环素牙的治果。小编为您——广州越秀圣贝口腔门诊部。
广州越秀圣贝口腔门诊部是一家全国连锁的口腔医院,汇集了广州交大、华西、北大、四医大等名校的口腔知名教授,常年聘请的是拥有多年行医经验的专家坐诊,而且我院采用的设备均是国外进口的,质量更有保障。

以上就是广州越秀圣贝口腔门诊部专家关于广州四环素牙该怎么治疗的介绍,现在您可以通过网络预约的方法点击专家在进行预约,这样可以针对性的获得治疗优惠和专家首治特权。同时也可拨打免费热线:020-87320999,QQ:2841272621对其进行提问。

请输入您的电话号码并点击“给我回电”,我院专家会在10钟之内给您电话回访。