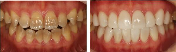
生活中常常有人因为四环素牙而烦恼,它对我们的正常生活造成极大的影响,严重的还会影响心理健康。那么,四环素牙究竟是什么原因导致的呢?我们又该怎么办呢?

广州越秀圣贝口腔门诊部专家介绍:四环素牙是由四环素类的物损坏而导致的,主要原因有以下两点:>>>咨询牙管家更清楚
1、母体因素:在婴幼儿期,母体接受四环素物从而进行腹部,但在进入化工却没得到释放。因此导致四环素会停留在幼儿体内,导致儿童形成四环素牙。四环素牙怎么办
2、物因素:人们处于在发育期,通常因此受到了不同的元素、吸收缺乏的原因。因此导致自身体内发生了异常情况,这时就可能导致四环素牙。【阅读:广州四环素牙该怎么治疗】
【专家提示】四环素牙不仅会严重影响牙齿美观外,还会引起牙釉质发育不完全,导致各种口腔疾病,因此要及时治疗。四环素牙的治疗方法有多种,患者应根据不同的四环素牙的程度,采取相对应的治疗方式。在此我们您选择——广州越秀圣贝口腔门诊部。

广州越秀圣贝口腔门诊部是卫生厅认证的牙科机构,在治疗四环素牙上有着丰富的经验和多种治疗方法,如炫彩美白、5D美容冠等,可以满足不同人的修复需求。医院可根据顾客的个性化需求,制定治疗方案,一次性诊断,一次性告知治疗费用,大限度地减轻病人的经济负担。同时医院承诺一店看牙、全国联保、终生服务,让您再无后顾之忧!

请输入您的电话号码并点击“给我回电”,我院专家会在10钟之内给您电话回访。