生活一些人有着一口黄牙或是黑牙,严重影响个人形象美观。如果牙齿黄怎么都去不掉,这个时候就要注意可能是患上了四环素牙,此时我们应该及时到正规专业的医院检查治疗。那么,到底什么是四环素牙呢?它又有什么危害呢【炫彩美白特惠】

什么是四环素牙
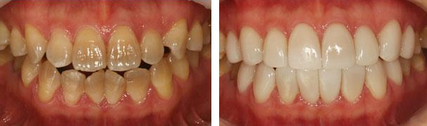
四环素牙是是小儿在牙齿发育钙化基期服用了四环素类物,造成牙齿硬组织的矿化抑制,表现为牙齿变色或釉质发育不全,使牙齿呈黄色、灰色或灰黑色。初牙齿呈黄色,以后逐渐由黄色变成棕褐色或深灰色。四环素牙的牙齿变色发生在深层的牙本质中,因此从牙齿表面进行脱色治疗是没有什么效果的。>>>详情点击咨询牙管家
四环素牙的危害
一、引发牙齿龋病:四环素牙会导致牙齿牙釉质发育不全,牙齿坚硬程度被降低或缺损,这种牙齿容易导致龋齿的发生,也会导致牙组织生长缓慢。
二、出现牙釉质缺损:四环素牙对孩子牙齿发育的危害就是牙齿变色越重,伴发牙釉质发育不全也越严重,甚至出现牙釉质缺损。
三、影响牙齿色泽以及美观:四环素牙对的危害主要是影响牙齿颜色与美观,使使牙齿呈黄色、灰色或灰黑色。>>>更多四环素牙的危害-点击咨询牙管家
四、导致牙釉质发育不全:四环素类物会与钙结合生成一种黄色的稳定的四环素钙复合物。如果在牙冠发育钙化阶段服用这类物,这种复合物就会沉积在牙本质中,使长出的牙齿发黄,并出现黄染现象,还会影响牙齿的钙化,导致牙釉质发育不全。
由于四环素牙对人们的健康有极大的危害,因此专家建议四环素牙一定要及时到正规专业的医院治疗。>>>我想了解四环素牙的治疗方法-点击咨询牙管家

广州越秀圣贝口腔门诊部隶属知名牙科医疗连锁品牌“圣贝连锁牙科”旗下,在中国北京、广州、广州、成都等地设有分店。实现一店看牙、全国联保、终生服务的连锁体系,让患者在不同城市都能充分享受圣贝优牙服务!

请输入您的电话号码并点击“给我回电”,我院专家会在10钟之内给您电话回访。