!-->

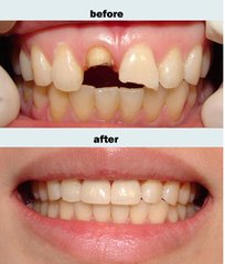
生活中许多人由于不注意口腔清洁等问题,往往导致龋齿的发生,进而产生龋洞。据牙科介绍,对于龋齿一般采用补牙的方式填补龋洞,以恢复其外形和功能。补牙后必须要注意护理,以保证补牙的效果。那么,补牙后该如何护理牙齿呢?

对于补好的牙,应予及时、必要的保护,注意的事项有:
1、听从医嘱,不用刚补好的牙咀嚼食物及硬物。补牙后一般应在第2或第3天再用患侧嚼食物为宜,以防牙折及补料脱落。
2、补牙后如出现轻微的疼痛,可先行自我观察,有的轻微不适及疼痛可自行消失。如疼痛非但不减轻,反而进一步加重或出现咬合痛、跳痛、冷热刺激痛、夜间自发性疼痛时,应及时去医院复诊检查治疗,以查明病因,消除疼痛。
3、对于龋坏较为严重的大面积缺损的牙,牙体修复后往往由于牙体本身抗力不足,在咀嚼时易发生牙折,为此,这类牙齿补牙后应及时做患牙的壳冠保护,以防牙冠折。
4、按医师约定的时间及时复诊。一周内勿用粗硬牙刷刷修复体表面,因光固化其树脂固化程度只有50%,24小时内可达90%,7天后才达100%。不用修复体咬硬物,少饮浓茶,少抽烟,忌用金属。
提示:补牙一定要选择正规专业的医院,否则极有可能导致一些不良后果或是达不到理想的补牙效果。补牙越早越好吗?
广州越秀圣贝口腔门诊部口腔
广州越秀圣贝口腔门诊部口腔是一家连锁医院,源自牙科品牌“圣贝牙科”,拥有一个强大的口腔团队,汇聚了欧美、亚洲等连锁著名的牙科,广州交大、华西、四医大等名校的口腔知名教授,为圣贝医疗质量提供了强有力的保障。