!-->

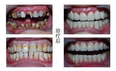
全瓷牙是一种牙齿修复方式,其透明度与真牙近似,修复后的牙龈边缘表现更加自然,宛如真牙,且具有对周边组织无刺激等优点,已被广泛用于临床。据牙科介绍,全瓷牙是一种不错的修复方式,但正如其他修复方法一样,也有其适应症。那么,全瓷牙适用于哪些人群呢?

1、牙齿治疗后修复:很多牙齿治疗后会留下牙齿问题,如牙髓治疗后易造成牙齿变色,补料脱落及牙齿折裂,选用态全瓷牙修复可避免。
2、牙齿发黄发黑的现象:四环素牙、氟斑牙、死髓牙等。
3、镶复缺牙:对于缺少的牙齿,利用缺牙前后的牙齿做固位牙,加上缺牙将几个全瓷牙冠连在一起,将其粘固在固位牙上,便可以镶复缺牙。
4、矫正牙齿发育异常:对于不正常的牙齿发育,如过小牙,牙间隙宽,个别牙不齐,釉质发育不全等,这些通过全瓷牙修复后可以把牙齿的形态、颜色恢复到理想状态。
全瓷牙没有金属基底冠的存在,有效避免了金属过敏和牙龈黑线等问题的出现,对人体健康无任何毒副作用,并且修复效果极佳,是牙齿美容修复的较佳选择。提示:由于全瓷牙是一种近几年才开展的一种高科技的镶牙方法,因此对设备都有极高的要求,所以做全瓷牙一定要选择正规专业的医院。广州全瓷牙哪家好
广州越秀圣贝口腔门诊部口腔
广州越秀圣贝口腔门诊部口腔源自牙科品牌“圣贝牙科”,专注牙科疾病的探索研究,致力于打“造您专属的私人牙医”。圣贝牙科是卫生厅认证的牙科机构,严格遵守卫生部对于口腔准入制度的所有要求,认真贯彻执行ISO9001:2000质量管理体系的核心框架,符合连锁“五大标准体系”,确保消费者的合法权益。