!-->

“爱美之心人皆有之”,爱美是人的天性,拥有一口洁白如雪的靓牙是每个人的梦想,但现实生活往往不会如此尽如人意,很多人都或多或少的存在牙齿问题,如四环素牙、咖啡呀、烟渍牙等等色素牙,因此,美白牙齿就成了解决关键,那么,广州哪家医院美白牙齿效果好呢?

圣贝表示,牙美白涉及到牙齿、牙龈的综合医疗、保健等服务,首先要确定的原则是美应该以健康为基础,因此好去正规的医院选择经验丰富的进行!
美白牙齿 广州越秀圣贝口腔门诊部口腔
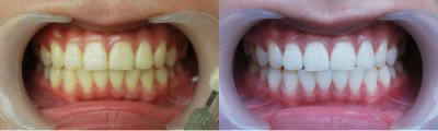
广州越秀圣贝口腔门诊部的炫彩美白来自新一代的等离子弧光光源科技,运用电激原理产生超高亮光源,以炫彩方式稳定,均匀的输出高密度蓝色光,对深藏于牙本质和釉质深沉的色素进行氧化美白。经大量临床证实,对于四环素牙和氟斑牙及其他深层顽强染色牙的美白效果都很明显,是目前受欢迎的牙齿美白。
广州越秀圣贝口腔门诊部炫彩美白前的洗牙、牙面抛光和护龈已经为牙齿牙龈做好了防御工作,不但不会对其造成损伤,还有清洁保护作用,延长牙齿寿命。炫彩美白全程只要30至45分钟完成,方便快捷,不影响正常生活和工作。炫彩美白过程不会产生热量,所使用的亲水性材料有脱敏成分,所以无刺激性和疼痛感,让你在轻松舒适中完成牙齿健康与美白的蜕变。炫彩美白一般情况下护理得当可维持5年的美白效果,不会造成任何的交叉感染和后遗症。》》》广州美白牙齿多少钱?
广州越秀圣贝口腔门诊部口腔严格按卫生部及物价部门标准统一收费,公开透明的收费制度,让患者明明白白看病。另外,广州越秀圣贝口腔门诊部口腔还加强医德教育,开展“阳光从医”活动,所有的医务人员都应拒收红包、不接受病人吃请,只需部分检查的决不做全面检查、普通能的绝不用昂贵,大限度地减轻病人的经济负担。