!-->

牙齿美白后需要精心护理,你知道吗?很多患者都没在意后期护理,觉得美白过后牙齿已经变白了所以不护理也无所谓。口腔表示,牙齿美白后期护理的好不但可以延长美白时间,还可以保持口腔健康,那么,牙齿美白后该如何护理呢?

1、去除不良的生活习惯。戒烟、酒,不吃过烫和辛辣的食物,拔除残冠、残根、磨除锐利的牙尖,除去不良的修复体,以避免慢性不良刺激。
2、减少各种致病因素。要节制甜食、甜饮料的摄入,降低唾液及龈沟液的酸度,以减少龋齿和楔状缺损的发生率。
3、施用保健法。传统医学提倡早晚叩齿和按摩牙龈是有效方法,每天晨起或睡下后上下牙齿轻轻对叩数十下,能促进牙体和牙周组织血液循环,同时在洗脸时,用食指上下旋转按摩牙龈,排除龈沟及牙周袋分泌物,可改善牙龈内血液循环,提高牙周组织抵抗力,从而防止牙周病。
4、牙齿的主要成份是钙和磷,钙和磷需从食物中获得。人体对钙磷的摄入充足,加之讲究口腔卫生,牙齿保护得好,牙齿就坚固而洁白。自我保健意识。有不少人认为牙痛不是病,平时不注意口腔保健,有病不及时治疗。自我保健法就是坚持早晚刷牙,饭后漱口的好习惯,以清除牙菌斑、软垢。食物嵌塞牙缝后用牙线清理。此外,每半年或一年到医院做一次口腔检查,洁牙一次(即洗牙),及早发现口腔病,及时治疗,缺牙及时镶牙。》》》广州哪家医院牙齿美白效果好?
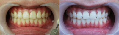
广州越秀圣贝口腔门诊部口腔炫彩美白发源于,由享誉世界的牙科设备和研发公司——普士集团研发而成,是当今世界为先进的牙齿美白之一,与3D数字克隆牙(全瓷冠)和全瓷贴面并列为牙齿美白的三大核心。由于其操作方便时间短、、效果持久、副作用小、价格便宜等诸多优点,一经面世即受到世界各界爱美人士的追捧,并已经成为好莱坞等演艺圈明星的美容标配产品。作为普士集团的临床示范基地,广州越秀圣贝口腔门诊部口腔率先引入了炫彩美白牙齿,至今已经为几千位爱美人士带来灿烂的笑容。
环境舒适,服务优质是圣贝的就诊标准!
广州越秀圣贝口腔门诊部口腔为患者提供现代典雅舒适的环境,优质全流程的客服服务。邀请设计韩国富川大学建筑设计教授金政寿亲自操刀空间设计,整个门诊环境高雅舒适,以"航空式服务标准"要求和训练的接待团队,力求为每一位来店的顾客提供优质的服务,值得您选择!

同时,广州越秀圣贝口腔门诊部口腔全面践行连锁医疗无菌操作理念,在行业内率先实现“一人一诊室一治疗室一医一助一机一用一消毒”8个一无菌诊疗模式,有效地杜绝了肺结核、肝炎等各种传染性疾病的交叉感染。在同行率先将灭菌消毒提升至16层,杜绝了因机器污染引发的感染,为顾客筑起了一道的屏障。