!-->

一口洁白整齐的牙齿,是每个人都希望拥有的,不仅是口腔健康的体现,更可以增加一个人的自信与魅力。因此,随着人们生活水平的不断提高,人们对自身的个人外在形象也有了新的要求,选择美牙的朋友越来越多,但同时,人们也想知道在广州美白牙齿需要多少钱?

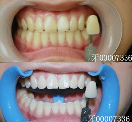
表示每个人牙齿变色的情况是不同的,有的是严重的四环素牙,有的只是因咖啡、可乐等造成的外源性着色。具体的牙齿情况不同,所设计的美白方案也不同,所以价格就会不同!
广州美白牙齿要多少钱?
1、跟牙齿变色程度有关。牙齿变色的原因不同,有内源性着色和外源性着色情况,所以在治疗的时候就要选择合适的美白方法,一般轻度的变色牙美白比重度的变色牙美白要便宜很多。
2、跟牙齿美白有关。不同的美白,采用的仪器、材料都不同,美白效果也有所差异,目前牙齿美白的方法主要有牙齿漂白、美白牙贴、激光美白、冷光美白、瓷贴面等等,价格都不是一样的。
3、跟的水平和医院等级有关。牙齿美白也是口腔科的手术,想要在不损害牙齿口腔健康的情况下美白牙齿,必须要由专业的进行操作,而且还需要有实力的医院提供先进的仪器、质量好的材料,成本高的美白价格就会贵一些,但是美白效果更好,也更。
4、跟患者所在地当地的物价水平有关。每个地区的消费水平都是不一样的,物价水平高的地方,牙齿美白的价格会相对高些,而物价水平低的地方牙齿美白价格会低些。》》》四环素牙是怎么回事?
广州越秀圣贝口腔门诊部 值得您选择!
广州越秀圣贝口腔门诊部口腔引进炫彩美白系统,是目前连锁上先进的牙美白之一,它运用了光谱原理,采用低温蓝光,隔出一切有害的紫外线与红外线,完全避免了操作过程中的不适与刺激、对周围组织的副作用。一次性30分钟至45分钟的治疗,可使牙齿平均提高5—14个VITA色阶,并使治疗后的牙齿具有自然的光泽,打破了传统冷光美白的局限性。