!-->

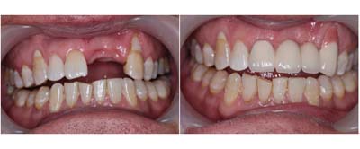
种植牙作为牙齿缺失修复的较佳方式之一,已经得到了越来越多患者的认可与亲睐。口腔告诉患者做种植牙的必要条件就是牙槽骨骨量充足,而对于缺牙已久的老年人而言,牙槽骨萎缩,骨量不够,是做种植牙面临的大问题,那么,牙槽骨萎缩是否就不能做种植牙了呢?

广州越秀圣贝口腔门诊部口腔亲骨种植是提取牙齿缺失患者自身的牙体骨骼来定制人造骨,保持极高的生物活性,避免了与空气接触后的活性丧失,骨粉在血液循环的作用下与牙槽骨迅速、牢固地结合,达到极佳的口腔相容性;大限度增加与颌骨接触面积,使种植体在良好的成骨组织上稳固生长,实现真牙般的咀嚼感受。
种植的优势:
1、CT定位:口腔三维CT精准定位、个性设计、可靠、确保无误。
2、生物相容:亲骨种植与自身牙体骨骼生物相容性极佳,100%。
3、无损:专利,几苦,将创伤降低到近乎于0,不影响患者正常生活。
4、舒适美观:种植后和真牙一样舒适,没有异物感,颜色晶莹剔透,自然美观。
5、稳定牢固:牙齿种植后牙体和骨骼相容,稳固,绝无脱落、松动后顾之忧。》》》治疗全口牙缺失什么方法好?
温馨提示:种植牙是一项专业性很强的工作,对医院设备和的都有很高的要求,建议患者好选择正规的医院进行检查和手术,以保证手术效果。
广州越秀圣贝口腔门诊部口腔是一家连锁口腔专业机构,具有连锁水准的大型现代化口腔治疗专科,集预防、保健、治疗、美容、修复为一体,组建了由多位博士生导师和国内外知名构成的专业口腔队伍,为广大群众口腔健康保驾护航。