!-->

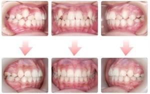
龅牙怎么办?患有龅牙的朋友在笑或说话时总是有些不自然,总想动动手把自己脸部的缺陷遮住。想要解决龅牙应该怎么办好呢?

广州越秀圣贝口腔门诊部医科四种矫治龅牙的方式:
偏向美观的朋友--隐形陶瓷矫正 :不需要托槽和钢丝,采用的是一系列隐形矫治器,该隐形矫治器由的弹性透明高分子材料制成,使矫治过程几乎在旁人无察觉中完成,不影响日常生活和社交。包括无托槽隐形矫正术,舌侧隐形矫正术,可以满足不同人群的矫正需要,而且具有隐形、无创、便捷、卫生,矫正过程舒适等特点,是矫正牙齿畸形极佳的选择。龅牙矫正的注意事项有哪些?
信赖钢丝矫正的朋友--美国MBT强效托槽矫正:采用具有记忆功能的独有自锁托槽,跟具有记忆功能的弹性直弓丝,外形小巧、美观、性好,避免了结扎丝末端对患者口腔的刺伤,便于操作,高效、简洁设计减少了牙面正畸附件的复杂结构,更便于患者的自我口腔清洁,大大减少了因操作时间所带来的不适。
关注时间,快速的矫正--3D美牙冠:7天还您一口美牙,采用100%生物相容性全瓷材料,无金属内冠,材质近似天然牙,不伤对颌牙,也不伤邻牙,整个过程1小时左右就可完成,可以达到终生的效果,修复体制作美观,强度好,方便快捷、适应症广、美观逼真,全瓷修复后得功能和美观程度堪与天然釉质媲美。

推荐:美颜正畸系统。
隐蔽、美观、便捷、的矫正方式--美颜正畸系统:靶向正畸,一次准确定位,一次搞定。圣贝连锁牙科医院所引进的美颜正畸,颠覆传统正畸,采用三维快速成像,确定牙齿分布状况,再根据力学原理和靶向定位着力点,运用聚能的力量将畸形牙移动,后将歪牙平移到正常状态。

圣贝连锁牙科 经典牙科会所
圣贝连锁医科源自圣手仁心,历经90年的发展,成为大的连锁口腔机构之一,圣贝牙科拥有一系列与连锁潮流接轨的高科技设备,比如即刻种植系统、靶向无形正畸系统、三维紧密全瓷牙美容修复系统、炫彩美白系统 等;麾下集纳了包括美国、、法国、比利时等欧美地区以及韩国、日本、中国台湾等亚洲地区的口腔领域的团队。领先的医疗,先进的服务理念,圣贝 牙科致力于做 深做精专科专病,为特需患者提供满意的特需服务。