!-->

牙齿缺失很多人都会想到做种植牙,种植牙是目前理想的恢复患者牙缺失的方法。那么,做种植牙贵吗?下面就来为大家详细介绍。

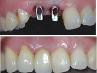
种植牙是通过术前对患者牙槽骨进行数字化的影像扫描定位,并根据相关数据制作定位导向,而后"人工牙根"顺着定位导向植入牙槽骨,当"人工牙根"与牙槽骨生物相容稳固后即可进行镶牙。种植牙的常见种类
广州越秀圣贝口腔门诊部介绍:针对种植牙价格的问题,具体与以下原因有关。
一、种植体的选择
种植体的材料也很多种,不同的材料价格也不同,成年人的种植材料相对于儿童来说会较较贵,分国产与进口材料,根据其特性也分为很多种。
二、品牌的选择
种植牙系统品牌的选择是影响种植牙价格的主要原因,不同的品牌,价格存在着很大的差异。
三、医院的选择以及地域的不同
在不同的地方由于经济文化的不同,也会影响种植牙价格的差别,而同一个地方,不同的医院或是同事一家的医院,则是根据的水平决定种植的价格。
四、术后护理的选择。
种植牙术后有的护理的是免费的,但是,有些额外的护理不是免费的,服务的不同也会决定价格的不同,这些也是影响种植牙价格的一个原因。

【广州越秀圣贝口腔门诊部率先引进了种植牙系统】
种植牙是目前先进的种植之一。耐用持久,世界上颗种植牙已正常使用40年。运用广泛,适用于牙齿缺损、牙列缺损、全口无牙。品质坚硬,基台坚固,稳定性强,大限度恢复正常咀嚼功能,咬合力达到正常牙的98.98%;生物相容性极好,口感良好,无任何异物感,临床适应症高于98.98%,不良反应低于0.02%;美学效果良好,大限度还原真牙形态;定位准确,无其他损伤,种植体直接嵌入牙槽骨,不损伤相邻牙齿; 有效防止牙齿缺失后牙槽骨继续萎缩。及时高效,种植周期只需7-28天,结合3D齿雕,1小时内即可完成单冠修复。