!-->

老人牙齿掉了很多颗怎么治疗?随着年龄的逐渐增长,老人的牙齿渐渐脱落,造成了牙齿的多颗缺失。但是生活饮食中离不开一副好牙,所以不少孝顺的儿女来到广州越秀圣贝口腔门诊部预约:老人牙齿掉了很多颗要怎么治疗?
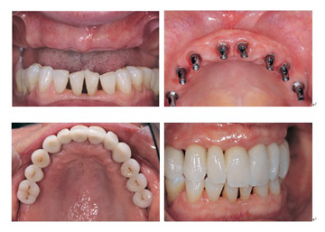
广州越秀圣贝口腔门诊部指出:牙齿脱落也叫“牙齿缺失”。牙齿缺失明显也是严重当然就是影响进食,没有牙齿对食物进行切割咀嚼,不利于营养摄取,增加肠胃负担;牙缺失还会导致牙槽骨萎缩,如果不及时治疗,会给老人带来很大的危害。做一颗全瓷牙多少钱?
那么老人牙齿掉了很多颗怎么治疗呢?
圣贝建议:
目前,连锁通行的修复缺失牙的好方法就是种植牙,能让更多中老人的牙齿完美重生。
种植牙,是通过医学方式,选用与人体相容性好的生物材料制成人工牙根,把它“种”到牙槽骨内,然后再在牙根上镶上自然、坚硬的全瓷牙冠。种植牙由于人工牙深植牙骨内,可承受正常的咀嚼力量,功能和美观上几乎和自然牙一样,因此,被人们称为人类的第三副牙齿。

种植牙优势:
种植牙治疗老人牙齿多颗缺失有很大的优势。种植牙外形逼真、美观;稳定性好,咀嚼功能大大优于传统活动假牙;无需磨削缺牙旁边的好牙,大程度地保护了患者的健康牙齿;体积小,大限度地减少假牙对发音的影响;既不怕冷,又不畏酸;舒适卫生,使用方便,是老人牙齿多颗缺失治疗的好方式。
以上就是“老人牙齿多颗缺失怎么治疗”的有关介绍,如果你还有什么疑问,可以在线预约我们的。我院会给你一个满意的答复。