!-->

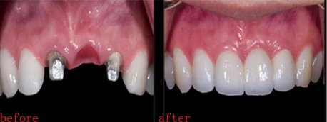
多颗牙缺失是可以做种植牙的,也不困难,只要身体健康,没有严重口腔疾病的成年人都可以做种植牙的。

广州越秀圣贝口腔门诊部指出:种植牙的治疗过程一般分为以下几个步骤:
1、在进行种植牙手术前,会进行全方位的口腔检查,患有口腔疾病的朋友需要先进行这些牙病的治疗,以保证身体的健康。根据你的意愿以及牙牙颌具体特征确定好的种植修复方案。种植牙到底有什么好处?
2、方案定下后,会在专业的无菌室,在局麻下,用特制种植机在牙槽骨上制备孔洞,然后将与人体骨质兼容的纯钛金属制作的类似牙根的圆柱体或其他形状的种植钉以外科手术的方式植入缺牙部位的牙槽骨内,接下来就是进入骨愈合期,大概一个星期后拆线,等待第二次手术。
3、种植钉植入后,经过1—3个月后,种植钉即可与牙槽骨紧密愈合。密合后在牙根上安装种植牙冠。
4、术后会进行护理,通常使用抗生素,在一天24小时内不能刷牙,不要喝刺激性的水,如太烫或太冰的水。

【广州越秀圣贝口腔门诊部即刻种植系统】
广州越秀圣贝口腔门诊部引进的即刻种植系统是目前先进的种植之一,运用广泛,适用于牙齿缺损、牙列缺损、全口无牙。品质坚硬,基台坚固,稳定性强,大限度恢复正常咀嚼功能,咬合力达到正常牙的98.98%;生物相容性极好,口感良好,无任何异物感,临床适应症高于 98.98%,不良反应低于0.02%;美学效果良好,大限度还原真牙形态;定位准确,无其他损伤,种植体直接嵌入牙槽骨,不损伤相邻牙齿; 有效防止牙齿缺失后牙槽骨继续萎缩。及时高效,结合圣贝牙科的5D亲贝牙美容修复,完全符合连锁单冠修复理念。比起传统的假牙,生物相容性更好、更稳定牢固。
上一篇:治疗蛀牙要多少钱?广州蛀牙优惠口腔推荐
下一篇:什么是种植牙 广州种植牙收费详解