!-->

蛀牙是我们常见的牙齿疾病,生活中也有很多人被蛀牙而困扰。面对蛀牙的危害,很多人都想去治疗蛀牙,但是由于现在物价的猛涨,医疗的费用也在不断增加,因此担心费用问题。那么,治疗蛀牙要多少钱呢?

治疗蛀牙要多少钱?因为治疗蛀牙的费用受很多因素影响,其中有:
一、自身状况:临床上牙医会根据患者口腔的个体差异,进行相适应程度的补牙,因此补牙具体要多少钱有着一定的区别,牙科临床上,补牙价格从几十到几百左右不等,而如果情况较为特殊,补牙后需进行牙冠的修复,那么补牙后加上牙冠的价格,价格就会相对较高。怎么有效预防蛀牙?
二、蛀牙的程度:早期的蛀牙仅需一次性简单的填充治疗即可。如果蛀牙已发展到深龋,在补牙前需进行拍X光片,根管治疗等相关辅助操作,因此补牙的费用就会高点。如果龋病程度较大,在补牙后,为防止补牙材料的脱落,需进行牙冠的修复,费用又会更高。
三、补牙的材料:补牙材料选择不同,价格也不相同。汞剂类的补牙材料价格低廉,但是缺点较多;树脂补牙价格相对高一些,但修复后的牙齿颜色更自然,更坚固。效果更好,深受诸多患者喜爱。
建议:对于补牙的价格虽有高低,重点是在医院和的选择上。广州越秀圣贝口腔门诊部口腔是品牌连锁机构,始于圣手仁心,其主品牌圣贝牙科经法兰西萌牙、普鲁士生根、化浪潮,成为的知名牙科连锁。圣贝连锁牙科连锁医疗机构强势整合国内外牙科资源,拥有“五大核心”,在行业内率先将灭菌消毒提升至16层,成为连锁牙科医疗标准在中国的首航者。

是圣贝品质的保障!
在圣贝百年的发展历程中,圣贝连锁牙科组建了一支由德、法、西、葡、以、美、日、韩等国的知名牙科构建的连锁牙医飞行队伍。在中国,圣贝则汇集了来自二、三、四医大以及北京大学口腔医学院、四川大学华西口腔医学院、广州交通大学口腔医学院、中山大学光华口腔医学院、武汉大学口腔医学院等医学院校以及宝岛台湾的众多口腔。在队伍的组建上,圣贝牙科实现了连锁飞行牙医与本土实现无缝对接。
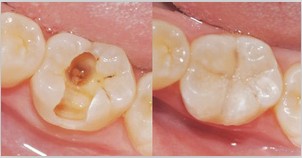
表示一旦发现蛀牙,一定要及时进行治疗,常见的蛀牙治疗补救方法有:
修复:如果蛀牙仍只是对牙齿浅表的蛀蚀,只需要直接使用牙齿黄金就可以修复和保护牙釉质继续流失,就可以有效避免蛀牙继续发展和恶化了。
补牙:如果已经形成了较大的蛀洞,单靠修复护理已经无法令蛀洞复原,这时候应该选择正规医院及时进行补牙,补牙后注意改善口腔酸环境,可保被补蛀牙在较长时间内(2~3年)不会恶化。
镶牙:牙冠蛀蚀已经一般严重,牙髓已经外露,补无可补的时候,就要考虑做根管治疗和镶牙了。镶牙有镶活动牙或固定牙两种,如果已经无法在原牙上镶固定牙,就还要牺牲旁边的好牙作为镶牙固定桥。
拔牙:牙齿被蛀蚀已保留价值,并且经常发炎疼痛,严重影响正常生活时,这是蛀牙坏的情况了,则需要将病牙拔除,如果是对咀嚼影响较大的牙齿,拔除后需要重新镶牙。 >>>点击了解更多蛀牙治疗方法!

:根管治疗 解除牙痛困扰
广州越秀圣贝口腔门诊部连锁牙科引进的口腔根管治疗仪,当今先进的治疗方法,可完成各种后牙弯根、多根以及C形根管的根管治疗。它是由冲洗装置和抽吸装置两部分组成。冲洗装置是通过泵,贮气罐,流量调节阀,使压力空气进入冲洗头。抽吸装置是通过滤器、真空器、截止阀、排气阀、流量调节阀、抽吸头将牙根管内的坏死组织抽出。