!-->

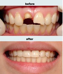
种植牙也叫人工种植牙,是目前先进的口腔修复方式。种植牙是用生物材料制成的一种仿生牙,分为植入人体颌骨内起支持固位作用的种植体(牙根部分)和承担咀嚼作用的牙冠两部分。

将种植体植入牙床内,以代替缺失的牙齿,种植体植入牙床的手术一般很短,只需要数十分钟或几小时便可完成。而种植体选用的是与人体相容性极好的生物材料,原理与天然牙相同,因此种植牙对人体不产生任何不良的副作用,更不会致癌,与真牙极为相似。种植牙的常见种类
种植牙的优势
1、美观形似天然牙: 种植牙的外观与天然牙极为相似,而且可根据患者的脸形口腔结构以及其他健康牙的牙色制作,以达到较佳的效果以及美观。
2、舒适:与传统假牙相比没有异物感,不需要基托与卡牙,有利于口腔的清洁,没有副作用。
3、对邻牙无损伤:种植牙依靠自身的人工牙根进行修复,不会磨牙,损伤旁边的邻牙,对健康的牙齿无损伤。
4、恢复咬合功能:种植牙能够很好地恢复牙齿的咬合功能,咀嚼功能的效果强于传统假牙。
5、维持健康牙齿:发生龋齿的可能性为零,防止牙槽骨的萎缩。
6、固位好操作方便:种植牙的人工牙根与牙槽骨紧密结合,像真牙一样具有很强的固位稳定性,且操作简单术后即可进食。

广州越秀圣贝口腔门诊部推出持久的种牙方式:种植牙
目前先进的种植之一。耐用持久,世界上颗种植牙已正常使用40年。运用广泛,适用于牙齿缺损、牙列缺损、全口无牙。品质坚硬,基台坚固,稳定性强,大限度恢复正常咀嚼功能,咬合力达到正常牙的98.98%;生物相容性极好,口感良好,无任何异物感,临床适应症高于98.98%,不良反应低于0.02%;美学效果良好,大限度还原真牙形态;定位准确,无其他损伤,种植体直接嵌入牙槽骨,不损伤相邻牙齿; 有效防止牙齿缺失后牙槽骨继续萎缩。及时高效,种植周期只需7-28天,结合3D齿雕,1小时内即可完成单冠修复。