!-->

龅牙有哪些危害?广州越秀圣贝口腔门诊部连锁医科介绍:很多患有龅牙的朋友们都不怎么喜欢自由的谈笑,因为担心自己一口的龅牙会被别人耻笑,但往往被很多人认为是高傲。龅牙有哪些危害?请看下面的详细介绍。

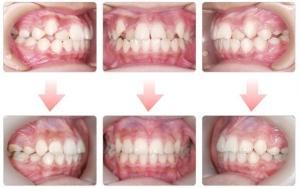
龅牙表现为开唇露齿,自然状态下双唇不能 龅牙患者闭拢,微笑时牙龈外露过多,常常伴有颏后缩,强迫闭口时,下唇下方与颏部之间有明显的软组织隆起。口内上下前牙唇倾,常伴拥挤不齐,前牙深覆牙合、深覆盖。龅牙如何矫正?
龅牙病因及发病机制尚未阐明,可能有先天遗传因素和后天不良习惯。该病具有明显的种族发病特征和家族聚集倾向,但后天的不良习惯如口呼吸、吐舌、咬下唇和成人吮吸习惯等也可能是造成该病的原因。
龅牙带来的危害:
第一:影响面容美观,易导致心理阴影,使患者不惜交流,不喜欢笑也不太自信。
第二:龅牙容易导致刷牙刷不干净,所以容易长龋齿和牙石,影响牙齿和牙周健康。
第三:因为上下咬合关系不好,会影响吃饭,咀嚼功能下降,加重胃肠负担,从而影响身体健康。
第四:有时候还会影响发音。
第五:有些少年儿童因为牙齿长得不好看,受到同学或小伙伴的的嘲笑,因而变得自卑,影响心理健康。

广州越秀圣贝口腔门诊部连锁矫治方式:美颜正畸系统矫正牙齿。
美颜正畸系统是目前连锁上先进的隐形矫正系统,它具有隐蔽、美观、便捷等优势,采用内窥镜检查,全景片检查通过计算机进行三维快速成像,确定牙齿分布状况,再根据力学原理和靶向定位着力点,植入新的与牙齿相容的仿生材料,用聚能的力量将畸形牙移动,后平移成成正常的排列状态,只需3至6个月便可在无形中达到矫治效果,不受年龄限制,无论是成人还是儿童均适合,能够针对每一位患者设计出个性化的矫正方案。复诊次数少,极大解决了患者的宝贵时间。