!-->

龅牙如何矫正?很多有龅牙的人士对于自己一口的龅牙都深深的自卑,不想让别人看到自己的龅牙,常常不注意间伸手去捂嘴,已经形成的下意识的动作习惯。龅牙不仅会让人自卑,也会使一些成长中的少年变得不喜爱交流,长此以往便会形成自闭的性格。

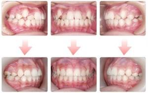
如何矫正龅牙?圣贝医科的们指出:靶向正畸系统是矫正龅牙的较佳选择。龅牙矫正多少钱?
龅牙有什么危害?
其一:龅牙会影响咀嚼功能的使用。
其二:龅牙会使我们的面部形象大打折扣。
其三:龅牙会影响心理健康,特别是对于一些自尊心极强的人士。
如何解决龅牙的问题?
矫正龅牙就选美颜正畸系统。靶向正畸系统是一种具有隐蔽、美观、便捷、有效的矫正方法,它的出现使爱美人士趋之如骛,不必戴传统矫正牙齿的钢丝圈,及隐蔽又可矫正龅牙,同时也保证口腔舒适。

圣贝连锁牙科引进的美国美颜正畸系统,不需要托槽和钢丝,是采用内窥镜检查,全景片检查通过计算机进行三维快速成像,确定牙齿分布状况,再根据力学原理和靶向定位着力点,植入新的与牙齿相容的仿生材料,用聚能的力量将畸形牙移动,后平移成成正常的排列状态,通过3至6个月在无形中达到矫治效果。
看了龅牙矫正的相关介绍,相信大家对于如何矫正龅牙心里已经有了方向,若您还有什么不了解的地方请预约我们的在线进行解惑,或直接拨打我们的电话进行免费查询。