!-->

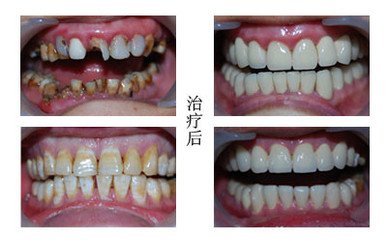
多颗牙齿缺失会有什么危害?关于牙齿的缺失,很多时候会给患者心理带来难言的苦恼。那多颗牙齿的缺失会给患者的口腔健康带来什么危害呢?下面我们一起跟随广州越秀圣贝口腔门诊部的来了解一下吧。

【多颗牙齿缺失有什么危害】
1、对发音的影响。
缺失一两颗牙齿,对发音的影响不大,可缺失得多了,尤其是前牙的缺失亦或是全部牙齿掉落时,说话不清还及其费力。这种情况是因为舌尖没有了原本的发音定位标志,气流穿过的路线中缺失了一道控制的门阀,因此说话在别人听起来感觉就像漏风一般。多颗牙缺失怎么办?
2、对美观的影响。
脸型在人体美学中占有很重的位置。大多数人只知道眼睛对人的外表很重要,却不了解,脸型的谐调与美观,是由牙列的完整来维持的。如果牙齿全部缺失,因为上、下颌骨间没有了支持,而且整个颌骨由于缺乏咀嚼的力量刺激,就会渐渐萎缩、蜕变,引起下巴长度变短,面部与周围肌肉松弛,唇、脸颊部内陷,嘴角下垂,面部皱纹增多甚至变形,整个脸部看起来会比同年龄段的人老很多。
3、对关节的影响。
如果牙齿缺失较多,其他牙齿移位倾斜、或是向对侧伸长,使咬合关系变得紊乱,阻碍了下颌骨向左右运动或向前伸。有些时候因为一侧牙齿的缺失只用另一侧牙齿咀嚼,这样会让肌肉出现张力的不平衡,长期下去肌肉就会出现髁突后移,疲劳,关节盘水肿,关节区也会感觉不适,疼痛、甚至关节弹响、张不开口等症状,临床医学上称为颞下颌关节紊乱症。
4、对消化系统的影响。
在多颗牙齿缺失的情况下,咀嚼的效率会随之减退甚至消失,口腔内唾液减少分泌,食物还没有嚼碎就进入肠胃,使得消化系统的负担增加,不但会影响吸收营养成分,甚至严重的会出现消化系统类的疾病。
广州越秀圣贝口腔门诊部口腔——值得患者信赖
广州越秀圣贝口腔门诊部指出,在当下的世界牙科领域,由我院率先引进的即刻种植系统,是目前适于中国人乃及亚洲人骨骼特质的种植系统,目前先进的种植之一。耐用持久,世界上颗种植牙已正常使用40年。运用广泛,适用于牙齿缺损、牙列缺损、全口无牙。及时高效,结合圣贝牙科的亲贝牙美容修复,完全符合连锁单冠修复理念。