!-->

据调查,到医院预约牙齿问题的男子中接近一半的人都是询问吸烟问题。吸烟的问题似乎已成定论,不仅有害健康,而且还会导致牙齿发黄,影响牙齿美观。在我国吸烟人群在不断上升,就连一些未成年人都走进了吸烟的误区,那么吸烟导致牙黄怎么办?

吸烟导致牙黄怎么办
广州越秀圣贝口腔门诊部表示,许多男性对于烟草的感情可以说是伴侣,烟有时是他们的精神伴侣,高兴的时候要用烟来陪伴,苦闷的时候也是用烟来陪伴,压力过大、精神紧张、茶余饭后闲聊时等等,在许多场合很多人都是由烟来陪伴。牙齿发黄的原因有哪些?
正是由此许多人的牙齿才会变的黄黄的,还会出现发黄牙斑等等问题,因为香烟中含有大量有害化学产物的烟雾要通过口腔吸人肺内,高温和化学产物的长期刺激,可促使菌斑的形成、牙石的堆积,并在牙面上形成棕色柏油样沉积物,随着时间的推移,牙齿的颜色由淡黄色变为黑褐色。吸烟往往使牙齿染上黑色特别是下前牙的舌侧牙颈部,刷牙也不易刷掉。
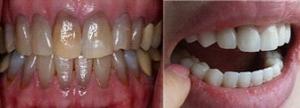
那么吸烟导致牙黄怎么办?刷牙解决不掉的牙黄问题一般是可以通过牙齿美白来解决的,牙齿美白针对于外源性与内源性色素牙都有很好的美白功效。而广州越秀圣贝口腔门诊部引进的炫彩美白通过特殊的高强度蓝光,有效催化含有感光催化剂的专利美白凝胶,能够很好的解决四环素牙带给您的苦恼,已经经过150多个及地区的牙医对超过200万患者的治疗验证,已成为有效、的牙齿美白系统。

炫彩美白系统 30分钟提升色阶美白无痕
广州越秀圣贝口腔门诊部引进的炫彩美白系统,是目前连锁上先进的牙美白之一,它运用了光谱原理,采用低温蓝光,隔出一切有害的紫外线与红外线,完全避免了操作过程中的不适与刺激、对周围组织的副作用。一次性30分钟至45分钟的治疗,可使牙齿平均提高5—14个VITA色阶,并使治疗后的牙齿具有自然的光泽。
炫彩美白系统适用于一般外因性色素牙(咖啡、茶渍、烟渍沉积)、中轻度四环素牙、氟斑牙、物性变色牙、遗传性黄牙等。美白效果更明显,护理得当有效可达数年。
温馨提示,吸烟导致的牙黄问题是可以通过炫彩美白的来解决,另外,在做完炫彩美白之后应尽量避免吸烟,如果能戒掉那便更好,对于戒烟困难的朋友应做好日常的牙齿护理工作,以防牙黄问题再度出现。