!-->

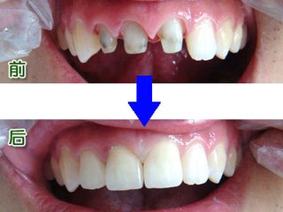
今年25岁的王先生,在一次意外中受撞击的影响导致了门牙意外的断裂。牙冠断裂后王先生很是着急,自己年纪轻轻的,正面临找工作的事,心里十分焦急。在几番打听后听说目前修复牙齿折断的案例还是很多的,多方了解之后的王先生选择去广州越秀圣贝口腔门诊部。

经过检查,发现王先生的牙齿因为受到外力的情况导致了牙冠折断,首先是经拍片后观察到患者的牙根完好,没有受到任何的牙周疾病的影响。向王先生推出了具体的治疗方案:牙冠断裂部分多,牙髓已经外露,因此需要先做根管填充,观察两周后在做全瓷牙冠。全瓷牙具有哪些优点?
说他这是一个一般典型的牙冠折裂修复案例,通过这个案例我们可以看到利用全瓷牙修复牙齿的优势之处,首先可以完全肯定的是牙冠的自然性,戴上后可以和真牙相媲美。其次是全瓷牙修复的牙齿可以保留着原先的牙根,免受拔牙的痛苦,这也是选择做全瓷牙的优势之处。

齿科高铁 45分钟搞定全瓷牙
cerec5D被誉为“齿科中的高铁”,传统的牙齿美容修复,至少需要一周的时间,西诺德Cerec 3D齿雕、4D齿雕机器人提速至1小时,Cerec 5D如今只要45分钟即可一次性搞定。黄牙、黑牙、龅牙、畸形牙、四环素牙……从此去无踪。
而生产Cerec5D的西诺德公司源自西门子,是世界上的牙科设备巨人,所有设备均获得美国FDA及欧洲CE权威认证及连锁知名医学认可。西诺德也因此与美国名列,成为世界上的美容系统,在欧美,用Cerec5D进行牙美容已成政界人士、社会名流、中产阶层趋之若婺的新时尚。

表示,全瓷牙无厚重感,无牙龈红肿出血现象,就好像真长出来的牙一样;做全瓷牙的时候对其他自然牙磨损少;具有完美的生物相容性,做了全瓷牙完全不用担心会有瓷崩裂的现象。