!-->

牙齿缺失后不及时修复会有什么影响?有些患者觉得掉颗牙没有什么大碍,还有其他的那么多颗呢。俗语说得好“牵一发而动全身”。牙齿对身体来说也是这样,无论什么原因造成的个别牙齿缺失或牙齿全部缺失,牙齿缺失后不及时修复会有什么后果?种植指出它将会破坏了牙列的完整性,继而影响咀嚼功能、影响肠胃吸收。影响排泄不顺,终对身体健康造成不可以预估的伤害。

牙齿缺失后不及时修复会带来以下这些方面的危害:
一、会造成颞下颌关节紊乱症:
当牙齿缺失较多时,剩余牙齿倾斜、移位或向对侧伸长等现象,使咬合关系紊乱,阻碍了下颌骨向前伸或左右运动。即刻种植牙优点有哪些?
二、影响发音功能:
语言是由口腔形成的,牙齿又是发音的辅助器官,人们说话、唱歌要想发音准确,离不开牙齿。
三、对剩余牙有不利影响:
牙齿承受的咀嚼力是有一定限度的,当个别牙齿缺失后,咀嚼力集中在余留牙上,由于咀嚼力超过了余留牙的承受限度,致使余留牙齿造成创伤而产生牙周膜水肿、牙龈萎缩、牙槽骨吸收、牙齿松动等牙周疾患。

四、咀嚼功能减退或丧失:
在正常情况下,食物进入口腔后,被牙齿逐渐嚼碎,并不停地混入唾液形成食团,然后经食管进入胃肠进行消化吸收。当个别牙齿缺失或牙列缺失后,咀嚼效率随之降低或丧失,唾液分泌减少,胃肠蠕动减慢,未嚼碎的食物进入胃肠,胃肠系统的负担随之加重,从而导致胃肠功能紊乱,影响人体对营养成分的吸收,严重者机体可出现消化系统的疾病。
五、影响面形美观:
面形在人体美中占有重要的位置,牙齿和眼睛又是影响面形重要的器官。牙齿全部缺失后,由于上、下颌骨间失去了牙齿的支持,而且牙槽骨或整个颌骨因缺乏正常咀嚼力量的刺激,将会逐渐退变、吸收,造成面下部高度变短,面颊部和周围肌肉松弛,唇、颊部内陷,口角下垂,面部变形及皱纹增多,整个人看起来要比同龄人显得苍老。

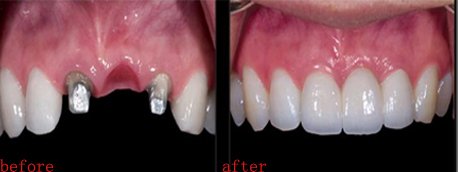
种植牙系统——您的较佳选择
广州越秀圣贝口腔门诊部口腔引进的种植牙被连锁上认为是牙齿缺失的修复手段,是牙齿缺失者的理想选择。如果您因疾病或意外而失去了牙齿,那么种植牙是牙齿缺失的。因为种植牙是较佳的,也是接近于天然牙的选择。