!-->

刚升上公关部经理的小夏,因为出色的工作能力,很被领导看好,特调她到公关部担任经理一职。可是,自从小夏升上公关部经理后,却整日开心不起来。原来是因为小夏的牙齿。小夏患有氟斑牙,再加上之前工作的关系,经常性加班喝咖啡提神,使得小夏的牙齿逐渐发黄。现在调到公关部工作,经常与客户接触,每次与客户交谈时,都底气不足,生怕别人看到她难看的牙齿,使得她的工作受到很大的影响,于是小夏下定决心去做牙齿美白。

于是小夏开始寻找让牙齿变白的方法,报纸,网络,广告,问朋友,所有的方法都去找,可是用过找的那些美白方法,但是都不尽如意。并且牙齿是越来越黄,这让我对牙齿美白失去了信心。后来在朋友的介绍下,她来到了广州越秀圣贝口腔门诊部。广州美白牙齿好的方法
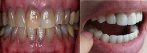
小夏来到医院后,医院的蔡主任亲切的接待了她,在了解到小夏的情况后马上为小夏进行了牙齿的检查,蔡主任说,小夏是典型的氟斑牙,蔡主任为她了炫彩美白。蔡主任说炫彩美白针对氟斑牙有很好的治果,经过30多分钟即刻达到美白的效果,而且对牙齿的伤害。小夏听了以后心情立刻兴奋起来了,经过三十多分钟的治疗,小夏的一口黄牙终于不见了。
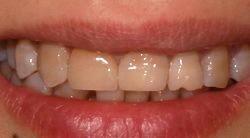
经过炫彩美白后的小夏从新绽放了美丽的笑容,她深有感触的说,拥有一口整齐如今的小夏早已自信满满,现在我可以和客户开心的谈笑了,而且我的工作是步步高升啊。

讲解炫彩美白
广州越秀圣贝口腔门诊部引进的炫彩美白系统,是目前连锁上先进的牙美白之一,它运用了光谱原理,采用低温蓝光,隔出一切有害的紫外线与红外线,完全避免了操作过程中的不适与刺激、对周围组织的副作用。一次性30分钟至45分钟的治疗,可使牙齿平均提高5—14个VITA色阶,并使治疗后的牙齿具有自然的光泽。
炫彩美白系统适用于一般外因性色素牙(咖啡、茶渍、烟渍沉积)、中轻度四环素牙、氟斑牙、物性变色牙、遗传性黄牙等。美白效果更明显,护理得当有效可达数年。
温馨提示:如果有了色素牙应到正规的口腔医院去治疗,不要用一些或者别的美白方法,那样很可能就会导致牙齿的问题越来越严重。如果您还有什么疑问可以在线预约牙管家。