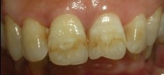
长期喝咖啡的话,牙齿上会留下许多色素,逐步使牙齿表面变黄,甚至变黑。时间久了,这些物质还会从牙齿表面逐渐深入牙齿内部形成我们常说的咖啡牙。那么, 有咖啡牙咋办呢 ?
广州圣贝牙科专家介绍:冷光美白只需只需30分钟,不仅可以去除牙齿表面的色素沉积,同时可进入牙齿深层达到脱色的效果,并且对人无害。
广州圣贝口腔专家介绍:针对氟斑牙美白的费用,没有一个固定的价格。因此,我们就要根据具体情况分析。
炫彩美白,是目前上先进的牙美白之一,z美白牙齿有效,对周围组织没有副作用。只需30分钟的治疗,可使牙齿平均提高5-14个VITA色阶。
广州圣贝口腔引进的炫彩美白系统,是目前上先进的牙美白之一,可以有效解决多种牙齿着色问题,30分钟左右的治疗,可使牙齿平均提高5-14个VITA色阶。