!-->

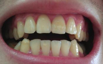
牙齿变黄or变黑,是现实生活中很普遍的事情。当看到荧屏中明星的那口洁白无瑕的牙齿,真是极度羡慕呀,再看看自己的牙齿,每天早、晚都有刷牙,为什么牙齿还是黄?有没有方法可解决?

广州越秀圣贝口腔门诊部口腔表示,通过专业的炫彩美白,可以让黄牙“白”回来!>>>了解牙管家更清楚
牙齿变黄的原因有很多种,主要分为外源性和内源性两种。外源性的黄牙是由于日常生活中喝茶,咖啡,抽烟等原因导致的;内源性的黄牙则是生长发育过程中使用的四环素物,或者是当地水质等原因导致的牙齿变黄,即四环素牙、氟斑牙。
炫彩美白,是目前连锁上先进的牙美白之一,运用光谱原理,隔出一切有害的紫外线与红外线,避免了操作过程中的不适与刺激、对周围组织的副作用。只需30分钟的治疗,可使牙齿平均提高5-14个VITA色阶,并使治疗后的牙齿具有自然的光泽。【阅读:炫彩牙齿美白怎么样?】
做炫彩美白后,必须避免饮用和使用茶、可乐、咖啡、红酒、梅果饮料、有色牙膏、漱口水等同时避免抽烟。此外,一星期内不要吃容易染色的食物,如麻辣火锅、咀嚼槟榔等。只有正确的护理牙齿,美白效果才可达10年噢!

上一篇:广州氟斑牙美白的费用是多少?
下一篇:牙齿发黄怎么办?选炫彩美白