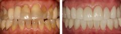
广州圣贝牙科医院采用的炫彩美白能够有效解决多种色素牙问题,一次性30分钟的治疗,可使牙齿平均提高5-14个VITA色阶,并使治疗后的牙齿具有自然的光泽。
26岁的林小姐,近找工作屡次受挫,很是苦恼。原来林小姐有一口色素牙,因为之前都没太在意,近找工作面试官时不时地会瞄着她的牙齿看,因为 色素牙 有点严重,大家都知道,
生活中,许多爱美者很烦恼,自己不抽烟、不喝酒,反而没能拥有一口亮白的牙齿,牙齿泛黄让她们都不敢自信地与人谈笑风生。那么, 牙齿上的黄渍如何去除呢 ? 广州圣贝口腔
广州圣贝牙科采用的炫彩美白能够达到深层美白牙齿的效果,治疗色素牙快速有效,并且对人无害,只需30分钟的治疗,可使牙齿平均提高5-14个VITA色阶。
广州圣贝牙科采用的炫彩美白系统,是上先进的牙美白,只需30分钟的治疗,可使牙齿平均提高5-14个VITA色阶,并且对人无害,有效解决牙齿发黄等牙齿着色问题。