!-->

在街上,我们常看到一些人的牙齿有偏黄的现象,其实这就是色素牙。它不仅影响个人的形象,还可能危害到个人的心理健康状况,而且单靠刷牙是解决不了的。那么,有了色素牙怎么解决好呢?

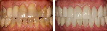
圣贝口腔介绍,色素牙是因饮食、烟茶、咖啡等附着于牙齿表面,使得牙齿变黄或黑色。炫彩美白系统是目前连锁上先进的牙美白之一,可以有效解决多种色素牙,让您拥有一口洁白靓丽的牙齿。>>>了解牙管家更清楚
炫彩美白运用光谱原理,采用低温蓝光,隔出一切有害的紫外线与红外线,完全避免了操作过程中的不适与刺激、对周围组织的副作用。一次性30分钟至45分钟的治疗,可使牙齿平均提高5-14个VITA色阶,并使治疗后的牙齿具有自然的光泽。
做炫彩美白系统后,两个星期内不要吃过于刺激的食品,并且要注意护理和保持口腔的干净清洁;其次,每年定期进行洁牙,这样美白效果能达10年以上。【阅读:广州色素牙怎么美白好】
圣贝口腔是的口腔服务行业领先品牌,致力于为客户提供专业、、卫生、美观、舒适的口腔诊疗服务。广州越秀圣贝口腔门诊部口腔率先采用连锁先进的八个一无菌诊疗模式,拥有经验丰富的口腔专业服务团队,全套世界先进的口腔专业设备,为您提供精准的口腔诊疗服务。

上一篇:色素牙可以变白吗?30分钟拥有洁白牙齿
下一篇:炫彩美白,找工作so easy!