!-->
项目大全
「广州越秀圣贝口腔」 > 最新资讯 >
做种植牙有哪些条件?种植牙必须满足哪些条件
来源:未知 | 时间:2021-08-10 | 阅读:
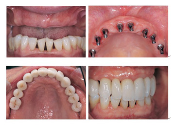
  很多缺牙患者都憧憬做种植牙修复,那么种植牙有什么条件吗?种植牙并不是每个人都可以做的,那么接下来就由圣贝种植科医生来介绍一下。
  种植牙有什么条件吗?一般只要是牙列缺损或牙列缺失的患者,都可以做种植牙,但是成功的前提是必须有良好的口腔环境,愈合力及抗感染力。
 
  牙周条件,健康的牙周是自然牙和种植牙稳固的基础,患有牙周病的需要先进行治疗,治疗后牙周条件达到了才能种牙。
 
  牙槽骨条件,长时间的缺失牙,加上牙槽骨缺乏原有的咀嚼刺激,会出现流失的情况,检查后骨量不足时,需先植骨,再植牙。
 
  身体条件,主要是中、老年人,在植牙前需要先进行常规身体健康,有特殊、严重身体疾病的提前告知植牙医师。
 
  种植牙有什么条件吗?建议缺牙之后及时去修复,长期缺牙不修复。会导致牙槽骨萎缩,容易加大种植牙的难度。种植牙跟年龄并没有关系,让缺牙患者都可以大饱口福。

种植牙就到广州越秀圣贝口腔门诊部口腔

广州越秀圣贝口腔门诊部口腔拥有的、温馨的环境、合理的价格,满意的口碑、成功的治疗案例是你治疗口腔疾病的首要选择,同时医院致力打造“您专属的私人牙医”,这种企划理念彰显了医院专业、权威、、奢华的定位和品质,也可体现医院的综合实力。


上一篇:牙齿做种植牙好吗?哪些情况不适合种植牙
下一篇:什么情况需要做种植牙 哪些情况不能做种植牙