!-->
项目大全
「广州越秀圣贝口腔」 > 最新资讯 >
牙齿做种植牙好吗?哪些情况不适合种植牙
来源:未知 | 时间:2021-08-10 | 阅读:
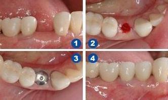
  种植牙是现在非常常见的牙齿修复方法,很多人都会选择做种植牙来修复牙齿,那么,广州牙齿不小心磕掉了做种植牙的好处有哪些呢?
  广州圣贝牙科医院医生介绍,种植牙美观可以根据就诊者的脸型、其他牙齿的形状与颜色制作牙冠,达到整体协调和美观的最佳效果。种植牙功能强,能很好地恢复牙齿功能,咀嚼功能大大优于其他传统假牙。种植牙的咀嚼功能远远大于其他的镶牙。
 
  种植牙不需要传统镶牙的卡环或牙套,人工牙根牙槽骨紧密结合,像真牙一样扎根在口腔里,具有很强的固位力与稳定性。种植牙依靠自身的人工牙根进行修复,不用磨旁边的健康牙齿,对牙齿没有任何伤害。种植牙不使用活动假牙必需的基托与卡环,没有异物感,非常舒适、方便,而且有利于保持口腔的清洁卫生和牙齿护理。
广州越秀圣贝口腔门诊部是卫生厅认证的一家全国连锁口腔机构,长年聘请的是拥有多年行医经验的、主治医师以上坐诊。采用的是美颜正畸系统,矫治牙齿美观大方,完全隐形,对人无害,而且矫正时间上比普通矫正要快6个月左右。同时医院承诺,一店看牙、全国联保、终生服务,让您再无后顾之忧!
 
  【广州圣贝牙科医院温馨提示】根据自己的情况选择合适的补牙方法,往往可以起到事半功倍的效果。如果您有更多关于牙齿种植的问题想了解,欢迎在线咨询或者拨打电话:020-87320999。
 
  

上一篇:补牙带牙套的好处和坏处 广州补牙收费标准
下一篇:做种植牙有哪些条件?种植牙必须满足哪些条件