!-->

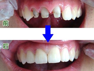
美容冠是目前流行的牙齿美容修复方式,能够很好的恢复牙齿的形态结构和功能美观,由此受到广大人民群众的喜爱。但是美容冠操作不当会对我们的健康造成一定危害,因此我们在做美容冠是一定要注意。那么,美容冠操作不当究竟有什么危害呢?

广州越秀圣贝口腔门诊部介绍:严格来说美容冠对人是没有危害的,因为在修复过程不会伤害患者的牙齿和牙龈。但是如果选择的医院不正规、不佳,操作不规范,则会留下一些隐患,危害我们健康。>>>预约牙管家更清楚
【美容冠不当操作的危害】
1、磨牙不当的危害:做美牙冠牙前需要磨除牙齿表面薄薄的一层,形成良好的固位型和抗力型,不会动及牙根。但是如果不佳,磨牙不当就极可能伤害牙齿,导致牙齿受损或影响美容冠的适用等。
2、材料危害:美容冠有多种材料制成,而一些材料生物相容性差,一部份人会发生过敏现象,甚至会造成牙龈变色和口腔毒性,影响人体健康,只有到正规的医院做美容冠才能保证其材料的。
3、结合不当的危害:美容冠修复是与基牙的接合必须要达到要求,否则处容易聚集菌斑,并且一下异物渗进结合处后可能引起蛀牙,导致基牙坏死,所以做美容冠要选择一个经验丰富的。【阅读:做美容冠需要注意什么】
【提示】美容冠对的以及医院的设备材料等有着极高的要求,因此只有选择一家正规专业的医院才能保证其和效果。在此我们您选择——广州越秀圣贝口腔门诊部。
广州越秀圣贝口腔门诊部口腔是一家连锁医院,采用的是自引进的5D美容冠,全面强力升级传统美容冠,引进全新的牙美容,采用连锁仿生材料,效果美观自然,坚固耐用。并且常年聘请的拥有十多二十年以上行医经验的坐诊,保证治疗的。同时医院承诺一店看牙、全国联保、终生服务,让您再无后顾之忧!