!-->

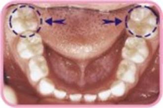
六龄齿是指儿童生长的恒磨牙,由于其通常在6岁左右萌发,故称之为“六龄齿”。六龄齿龋坏率高,拔除和患病的几率均高于其它牙齿。由于六龄齿对儿童的健康有极大的影响,因此要特别重视六龄齿的保护。那么,为什么六龄齿容易龋坏呢?

广州越秀圣贝口腔门诊部介绍:六龄齿是萌出时间早的恒磨牙,咬合面很大,承担着主要的咀嚼功能,容易积存食物残渣并形成菌斑,即便刷牙也不能将窝沟深度清洁,并且又由于窝沟内壁釉质薄,钙磷含量相对较少。因此,六龄齿是儿童龋齿中易发生龋坏的一颗牙齿。>>>预约牙管家更清楚
【如何预防六龄齿龋坏?】
1、培养良好习惯的口腔习惯:从小培养孩子良好的口腔习惯,进食后要给孩子以冷开水漱口,不会漱口的则稍饮用温开水。尤其是食入甜食后,必须清漱口腔。
2、均衡膳食:不贪吃甜食,主食中不要过于讲究“精细软”,要荤素适当搭配,粗硬适量;零食不要过多过滥,应以各类水果为主,既利于洁牙,又利于固齿。
3、定期检查:定期查看孩子的六龄牙发育情况,发现异常(如齿表、窝沟中有黑色沉积物,即菌斑存在),应及时领孩子到医院口腔科进行检查和诊治。
4、物防龋:家长可以带儿童到正规医院使用物防龋,常用的有三种:防龋凝胶或泡沫,氟化钠溶液、氟化亚锡溶液,窝沟封闭。【阅读:小孩什么时候做窝沟封闭好】
【提示】六龄齿是不会换牙的,并且承担着咀嚼作用,因此对于儿童的健康有着极为重要的意义,一旦六龄牙出现龋坏,必须及早到正规专业的医院治疗。在此我们您选择——广州越秀圣贝口腔门诊部。
广州越秀圣贝口腔门诊部隶属知名牙科医疗连锁品牌“圣贝连锁牙科”旗下,集口腔治疗、预防、保健于一体,并设立有专门的儿童诊室,治疗儿童口腔疾病更加专业。并且医院长年聘请的是拥有多年行医经验的、主治医师以上坐诊,保证治疗有效。同时医院承诺一店看牙、全国联保、终生服务,让您再无后顾之忧!