!-->

全瓷牙是一种牙齿修复美容方法,具有很好的透光性,修复的牙齿宛如真牙,并且具有对对周边组织无刺激等优点,已被广泛用于临床。那么,全瓷牙究竟可以修复哪些牙齿问题呢?下面我们就来听一听牙科关于全瓷牙修复的介绍。

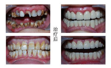
1、牙齿缺失:全瓷牙可以修复牙齿缺失问题,利用缺牙左右邻牙的固位作用,使用全瓷牙冠就可以很好的连在一起,修复牙齿缺失问题。
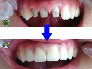
2、牙齿色素沉着,发黄发黑:全瓷牙还可以改善四环素牙、氟斑牙、牙齿变色的问题。
3、牙齿发育畸形:对于不正常的牙齿发育,如过小牙,牙间隙宽,个别牙不齐,釉质发育不全等,这些通过全瓷修复后可以把牙齿的形态、颜色恢复到理想状态。
4、牙齿治疗后出现的问题的修复:很多牙齿治疗后会留下一些牙齿问题,如牙髓治疗后易造成牙齿变色,补料脱落及牙齿折裂等。此时,选用全瓷全冠修复可以有效避免这些问题。
全瓷牙是一种很好的牙齿修复方法,但是术后必须做好护理保健工作。全瓷牙修复后应尽量避免用其切、咬坚硬食物,以预防修复体受损;且应作好每日自我清洁,如:用牙线清洁等,以预防牙龈发炎;并应定期就医随访。只有这样才能保证全瓷牙的长久使用。全瓷牙修复门牙价格是多少
广州全瓷牙哪里好?
广州越秀圣贝口腔门诊部口腔是一个连锁医院,源自牙科品牌“圣贝牙科”,拥有一个强大的口腔团队,汇聚了欧美、亚洲等连锁著名的牙科,广州交大、华西、四医大等名校的口腔知名教授,为圣贝医疗质量提供了强有力的保障。