!-->

氟斑牙是色素牙的一种,牙齿呈黄色损害,为慢性氟中毒早期在口腔的表现。据牙科介绍,氟斑牙不仅对人们的健康有极大的危害,更是会极大影响个人美观,所以氟斑牙一定要及时治疗。那么,氟斑牙的临床表现是怎样的呢?又该如何治疗?

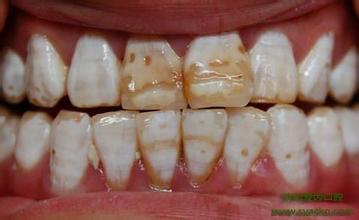
氟牙症临床表现的特点:
是在同一时期萌出的釉质上有白垩色到褐色的斑块,严重者还并发有釉质的实质缺损。临床上常按其轻、中、重度而分为轻度、中度和重度三种类型。
1、轻度;牙面失去正常光泽,出现不透明斑块。
2、中度:牙面出现黄色、黄褐或棕褐色。
3、重度:除上述改变以外,牙面还出现浅窝或坑凹状缺损,或因磨损使牙失去正常外形。
氟斑牙多见于恒牙,发生在乳牙者甚少,程度亦较轻,对摩擦的耐受性差,但对酸蚀的抵抗力强。氟斑牙的治疗方法有许多种,主要有以下几种方法。
1、冷光美白
冷光美白是目前流行的牙齿美白方法,采用低温冷光,可避免伤害口腔,通常只需要30分钟就可达到美白的效果,而且效果可维持2年以上。冷光美白可以达到深层达到脱色的效果,其效果可提高5-14个vita色阶。
2、树脂修复
树脂修复是一种较好的牙齿修复美白方式,可以尽可能地保存牙体组织,有效地去除氟斑牙表面着色,促进了美白效果及再矿化修复,稳定脱色效果,并且能塑造出完美的具有个性化颜色和形态的牙齿。
3、美容冠
美容冠是目前连锁上为理想的牙齿修复美白方式,可以从牙齿的形态、色泽、功能、结构、相容等生态学方面加以仿生处理。具有美牙不拔牙,苦,时间短,牙齿坚固,多年后牙龈不会出现黑线等优点。
除此以外还有诸多美白方法,患者可根据自身实践情况选择为合适自己的治疗方式。但是,重要的是选择一个正规专业的口腔医院,只有这样才能保证治疗的效果。如何快速治疗氟斑牙
广州越秀圣贝口腔门诊部口腔
广州越秀圣贝口腔门诊部口腔源自牙科品牌“圣贝牙科”,是卫生厅认证的牙科机构,严格遵守卫生部对于口腔准入制度的所有要求,认真贯彻执行ISO9001:2000质量管理体系的核心框架,符合连锁“五大标准体系”,确保消费者的合法权益。