!-->

生活中我们会因为很多的原因导致牙齿缺失,牙齿一旦缺失以后面部美观、饮食等都会受到严重影响。因此很多人都选择安装假牙来代替缺失的牙齿,那么,牙齿缺失以后装什么假牙比较好呢?让我们把这个问题交给广州越秀圣贝口腔门诊部的牙科吧。

广州越秀圣贝口腔门诊部口腔指出,就目前来说假牙的种类主要可以分为固定义齿、活动义齿以及种植牙。具体那种好,每个人的需求不同,对假牙的要求也不一样,因此还是要根据个人情况来选择。为什么牙齿缺失后要及时修复
1、固定义齿:利用缺失牙两侧的健康牙做支持,把假牙固定在口腔内,适用于少数牙缺失,间歇缺牙,余留牙健康状态好的情况。但修复时要对缺失牙两侧的健康牙磨除部分牙体组织后进行全冠修复。
2、活动义齿:顾客可自行摘戴的假牙,适宜于全口多数牙缺失,余留牙少的情况,但咀嚼效率较低,清洁不方便,且容易脱落。
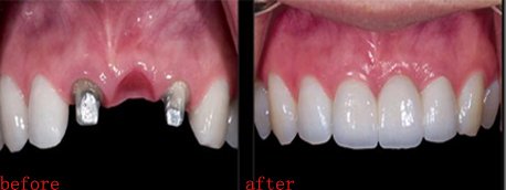
3、种植牙:目前的牙齿缺失好的修复方法。通过外科小手术将与人体相容性极高的人工牙根植入缺牙区的牙槽骨内,待种植体与牙槽骨形成骨结合后,再在种植体上带上牙冠。种植牙依靠自身牙根独立存在、不损伤邻牙、舒适美观,固位力好,咀嚼力强,方便清洁,且适应范围广,对于单颗牙、多颗牙、全口牙缺失都能很好的修复。

广州哪家医院做种植牙更有保障?
广州越秀圣贝口腔门诊部口腔团队对种植牙有着一般丰富的临床经验,借患者之间的口碑相传,声名远播,吸引全国患者纷纷前来就诊。所以,如果你的牙齿需要矫正,可以到我院了解预约,广州越秀圣贝口腔门诊部口腔全体员工祝你早日。