!-->

调查显示,我国65-74岁的老年人中,有牙齿缺失的人高达86.1%,能保留20颗以上恒牙的仅有57.68%,其中的龋齿和牙周病患病率还很高。老年人究竟该如何保护口腔健康呢?让广州越秀圣贝口腔门诊部口腔牙科告诉我们。

错误观念一:牙疼不是病
有不少老年人认为“牙疼不是病”,有塞牙、牙齿酸软、牙龈出血、牙疼等问题都是能忍则忍,一拖再拖,以致失去了良好的治疗时机,影响咀嚼功能或发生一系列口腔疾病,甚至威胁全身健康。中国医科大学附属口腔医院干诊科副主任医师钟丽芳介绍,有研究表明,人的咀嚼活动有调节心脑血管流量的作用。牙齿坚固的老人,很少患有心脑血管的病变。另外,如果老年人缺牙多,食物尚未充分咀嚼和初步消化就吞下,容易加重胃肠疾病。老年人牙齿脱落怎么办
错误观念二:老掉牙很正常
有人认为,人老掉牙是自然规律,不必在意;还有很多老年人认为,自己年龄大了,没必要修复失牙,这些观念都是不正确的。钟丽芳介绍,每一颗牙齿都有自己的位置,肩负着特殊的功能,人体的精巧在于每个结构都丝丝入扣、相得益彰,牙齿也如此。牙齿缺失后,整个口腔的平衡就会被打乱,若不及时修复,常会导致缺牙两侧的牙齿出现倾斜、移位,缺牙间隙逐渐缩小,对颌牙伸长,局部咬合关系紊乱,咀嚼功能下降,食物嵌塞、龋病、牙周损伤等问题。牙齿缺失同时影响面容,尤其是全口无牙者,因此牙齿缺失会严重影响患者的社交活动,容易相应产生心理障碍。
及时修复失牙 选合适的义齿
老年人要及时修复失牙,首先要选择适合自己的义齿。现在的义齿主要有活动义齿、固定义齿、种植牙等。它们各自适应哪类人群呢
首先是活动假牙,它的适用范围较广泛,包括各类牙齿缺失患者,特别是对游离端缺失(即末端无牙)及伴有颌骨组织缺损等情况为适合。
其次是固定义齿,它适用于牙齿缺失数目较少、余留牙条件较好的情况。固定修复体体积小,稳固、美观,患者无需摘戴,但相对于活动假牙需要磨除更多的牙体组织。
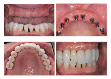
后是种植牙,它被誉为“人类的第三副牙齿”,在功能、感觉、形态、使用效果等方面与真牙为相似。一般情况下,身体健康,没有心脏病、严重高、内分泌机能障碍、、血液系统疾病等全身性疾病,口腔局部条件良好,剩余牙槽骨的形态、颌骨的质量和密度基本符合条件,咬合基本正常的患者都可以接受种植牙修复。

广州哪里做种植牙好?
广州越秀圣贝口腔门诊部口腔现在凭借着,“高科技、高水平的医疗质量,医术与艺术相结合、医患沟通零距离是圣贝客服的终目标;优雅舒适的环境,无菌、就诊的服务是连锁医疗质量标准的基础。”圣贝牙科创新性地在国内实行“8个一”无菌感控制模式:一人一室、一椅一治疗、一医一助、一机一消毒,有效避免了传染性疾病的交叉感染。