!-->

牙齿变黄主要是食物留下的结石导致的,去掉结石就能恢复原本牙齿的颜色,但人们往往以为这样就能够让牙齿变白了,其实还远远不够,除了清理牙结石,专业的美白手段也是需要的,接下来就让广州越秀圣贝口腔门诊部口腔牙科带我们了解一下。

对于早期的牙垢,定期刷牙就能去除,这也是为什么牙医一直强调“每天要刷牙三次”——这是个行之有效的传统。从难刷干净的地方开始刷起,可以让你清洁更容易。如果你已经有牙结石,那只能到牙科处寻求帮助了。洗牙就是一种一般有效的清洁牙齿的方法,也是一种常规治疗手段,能帮助你摆脱牙结石的烦恼,常人好半年洗一次牙。广州美白牙齿哪家医院好
洗牙也不能美白的黄牙怎么办才好?
广州越秀圣贝口腔门诊部口腔指出,我们不建议忙盲目追求牙齿白亮,牙齿颜色好与白眼球的颜色一致,自然的亮白才是完美的。但是,如果由于某些物原因导致牙齿变色我们您使用更专业的美白方式,因为洗牙只能清洁牙齿——单纯的洗牙并不能改变牙齿本身的颜色。
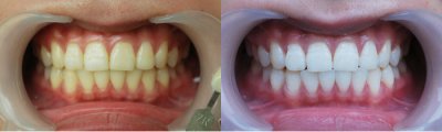
广州越秀圣贝口腔门诊部口腔炫彩美白是一种快速而又的牙齿美白。能避免了治疗过程中对牙神经的刺激。美白剂的主要成分为过氧化氢,使用在牙齿脱色上已有10年之久,完全不接触牙龈的美白过程中,对牙齿结构及珐琅质不造成任何伤害,一次性、无刺激。与其他美白牙齿的方法相比,炫彩美白的优势在于效果,无任何副作用,对牙齿无损伤,美白效果为理想。
美白效果如何更持久?
美白后并非一劳永逸,牙齿颜色保持时间的长短因个人的饮食习惯而异,而且因为牙本质管开放,所以在24小时内牙齿很容易再染上有色物质,应避免饮用茶、咖啡、可乐、红酒等有色食品,也不要用有色牙膏刷牙。

广州哪家医院做牙齿美白好?
通过以上的介绍,相信您对于炫彩美白的优势也有了一定的了解。而做好牙齿美白,首先要选好医院,在这里,小编在这里为大家广州越秀圣贝口腔门诊部口腔,这是一家传承自的历史悠久的牙科医院,在这里,您可以享受到完美独特的引导式服务,将有美丽的引导师全程带领您的预约与治疗过程,让看牙成为一种享受。