!-->

你是否正受氟斑牙所困扰?生活中又是否因氟斑牙引起了一系列的尴尬?氟斑牙可以变白吗?让我们来听听广州越秀圣贝口腔门诊部口腔牙科怎么说。

圣贝介绍,氟斑牙的治疗不同不同的症状治疗的方法也不一样,大概根据症状的轻重可以分为三种,轻度、中度和重度。
★轻度:轻度的氟斑牙牙齿整体颜色还可以,就是有些黄斑,白斑的面积不大,往往在门牙上,影响美观。
★中度:中度的氟斑牙,牙齿有轻度或者缺损很少,就是有大面积的牙齿颜色发黄,黄斑。氟斑牙不治有什么危害?
★重度:重度氟斑牙,牙齿有缺损,有些甚至磨损的比较严重了。颜色也黄的很厉害,甚至有部分已经发暗发黑。
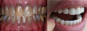
氟斑牙美白——炫彩美白系统
炫彩美白系统,是目前连锁上先进的牙美白之一,它运用了光谱原理,采用低温蓝光,隔出有害的紫外线与红外线,完全减少了操作过程中的不适与刺激、对周围组织的副作用。30分钟左右的治疗,可使牙齿平均提高5—14个VITA色阶,并使治疗后的牙齿具有自然的光泽。
其主要优势
1.:无损牙齿牙龈。炫彩美白的洗牙、压面抛光和护龈已经为牙齿牙龈做好了防御工作,不但不会对其造成损伤,还有清洁保护作用,延长牙齿使用寿命。
2.快捷:炫彩美白全过程30分钟左右完成,方便快捷,不影响正常工作生活。
3.:刺激疼痛感小。炫彩美白过程不会产生热量,所使用的亲水性材料有脱敏成分,所以刺激性和疼痛感小,让您在轻松舒适的过程中完成牙齿健康与美白的蜕变。
4.长效:护理得当有效可达10年。炫彩美白一般情况下护理得当可维持10年的美白效果,不会造成任何的交叉感染、后遗症。

美白牙齿,圣贝牙科
广州越秀圣贝口腔门诊部是一家经由相关部门正式批准的正规医疗机构,早已拥有一个强大的口腔团队,汇聚了欧美、亚洲等连锁的牙科,广州交大、华西、四医大等名校的口腔,为圣贝医疗质量提供了强有力的保障。在圣贝,连锁牙科与国内与修复团队形成了良好的无缝对接,在口内、口外、修复、正畸、牙美容、牙种植等方面都颇有造诣。