!-->

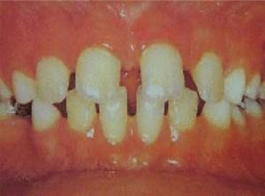
经常有家长朋友有这样的疑问,为啥孩子的牙齿间隙那么大,这么小吃东西老是塞牙,成人的牙齿一般是紧密,随着年龄的增长,间隙会慢慢变小吗?下面由广州越秀圣贝口腔门诊部口腔牙科来为大家讲解下:

儿童牙齿稀疏一般在2.5-6岁左右,这时口内一般是乳牙,如果患儿牙齿数目、形态、大小正常,同时颌骨发育正常,牙列中出现散在的间隙,看似牙列稀疏,然而这一般是正常的。此有利于恒牙的正常萌出,临床上一般毋需矫治。如果牙体态小,颌骨形态正常;口内先天缺牙,颌骨形态正常;牙体形态正常,颌骨过大等,其往往造成牙列稀疏,此为疾病的征象,需加以矫治。
从6岁至12岁左右,此年龄段内,口内乳恒牙同时存在,这一时期牙列稀疏不常见,临床上常见到的乳牙早脱或恒牙迟萌以及由于唇系带附离异常所致的牙间间隙,此一时期只要针对病因,对症矫治,常可收到较好矫治效果。
在乳牙全部替换掉、恒牙萌出后,由概述中所述及的四种类型所致的牙列稀疏,只要及早矫治,一定较好,若错过12-16岁这一年龄后再行矫治,往往疗程较长、不能肯定,此期可正颌手术治疗。儿童牙列稀疏较佳矫治办法
牙列稀疏易于嵌塞食物而损伤牙周组织,引起牙龈炎,牙周炎,同时易于龋变。严重者可影响患者的容貌美观,造成心理精神障碍。此病及早根据引起牙列稀疏的原因,进行不同方法的矫治。
美颜正畸的优势
1、个性化及可预见可视化模拟整个治疗过程,更好地选择个性化的矫正方案,突破了年龄限制。
2、矫正和植入材料环保,无牙龈炎、牙齿脱矿、变色等担忧。
3、无形几乎完全隐形。临床操作简便、患者口腔异物感小。
4、美观几乎完全隐形。临床操作简便、患者口腔异物感小。
5、舒适由于没有传统意义上的托槽、钢丝等矫正装置,矫正过程更加舒适。
6、清洁口腔卫生容易维护,不必担心牙龈炎、牙齿脱矿、变色等问题。
7、方便可自行摘戴,不影响社交、进食、运动等。复诊次数减少,节约时间。

矫正牙齿,就到广州越秀圣贝口腔门诊部
广州越秀圣贝口腔门诊部口腔凭借着,“高科技、高水平的医疗质量,医术与艺术相结合、医患沟通零距离是圣贝客服的终目标;优雅舒适的环境,无菌、就诊的服务是连锁医疗质量标准的基础。”圣贝牙科创新性地在国内实行“8个一”无菌感控制模式:一人一室、一椅一治疗、一医一助、一机一消毒,有效避免了传染性疾病的交叉感染。