!-->

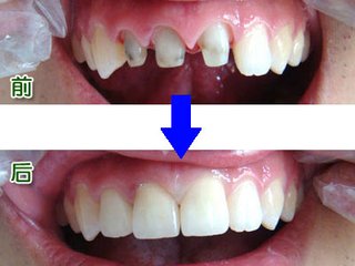
烤瓷牙是一种牙齿修复方式,由于其种类繁多,能够满足不同人的修复要求,因此受到许多人的追捧。据牙科介绍,随着越来越多的人选择烤瓷牙修复,人们对其价格也愈加关注。那么,广州烤瓷牙贵不贵呢?

烤瓷牙,也叫烤瓷冠,是一种对于牙体的的现代化的理想的修复手段。烤瓷牙能恢复牙体的形态功能,且抗折力强且颜色、外观逼真,表面光滑,耐磨性强不会变形,色泽稳定,属性修复体。烤瓷牙的价格并非是固定不变的,是由多方面因素共同决定的。
1、烤瓷牙的品质:品质不同价格当然不同,也可以说材料不同价格不同。不同材质其机械性能,物理性能,化学性能,生物相容性,美观性等都有很大区别。当然也包括印模材料,模型材料,临时牙材料等。每一款烤瓷牙都有其适合的修复指征,并不是适合所有的情况。通常会根据您的情况帮您选择适合的烤瓷牙。
2、医院的不同:不同的医院收费标准不一样,价格自然也就不同。每一间牙科硬件投入和软件建设肯定不一样,、质量、信誉、服务也不仅相同,那么收费肯定也不同。
3、选择的加工厂不同价格不同。即使同一品质烤瓷牙也因为所含贵金属比例不一样其加工费也不一样。国内齿科工作室一颗烤瓷牙的加工费就高达五百多欧元。
4、的不同:不同收费也不一样。的经验、职称、受教育背景不同决定了其产品的质量。
烤瓷牙的价格是选择烤瓷牙的重要因素之一,但每种烤瓷都有其优缺点,磨牙量的多少、坚固程度、密合度、美观性能、生物相容性等都是考量因素。所以,患者应当根据的建议并结合自身情况来选择,没有好的烤瓷牙,只有适合自己的烤瓷牙。影响烤瓷牙寿命的因素有哪些?
广州越秀圣贝口腔门诊部口腔
广州越秀圣贝口腔门诊部口腔是一家连锁医院,源自牙科品牌“圣贝牙科”,是卫生厅认证的牙科机构,严格遵守卫生部对于口腔准入制度的所有要求,认真贯彻执行ISO9001:2000质量管理体系的核心框架,符合连锁“五大标准体系”,确保消费者的合法权益。