!-->

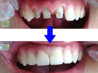
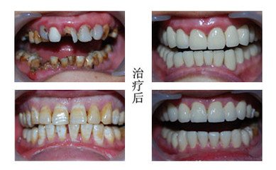
据牙科介绍,烤瓷牙是一种牙齿修复方法,可以够恢复牙齿缺损并且能达到功能和美观要求。烤瓷牙有许多种类,其价格也是高低不同,能够满足人们不同的修复要求。由此,受到了广大人们群众的喜爱。但是,烤瓷牙也有失败的可能,往往给人们带来极大的危害。那么,究竟有哪些原因会导致烤瓷牙失败呢?

烤瓷牙失败的原因:
1、不过关
的水平在烤瓷牙修复上起着重要的作用,所以如果不佳往往会导致烤瓷牙失败。
2、烤瓷牙设计不合理
合理的设计更有利于烤瓷牙手术的进行,而如果设计不合理可能会引起牙折裂、烤瓷崩瓷、牙齿松动、脱落等一系列的问题。
3、烤瓷牙材料选择不当
烤瓷牙材料对于修复也极为重要,如果选择了不适合自己的或是生物相容性差的烤瓷牙材料,会对周围组织产生不良刺激,出现过敏、腐蚀、金属离子渗出等现象,从而可能产生牙龈炎、牙周炎、龈缘黑线、口腔异味等。
4、烤瓷牙和牙龈边缘弥合不好
烤瓷牙和牙龈边缘需要弥合好,如果弥合不好会导致细菌和食物残渣进入缝隙造成牙龈的炎症,导致牙龈肿胀出血,甚至时间长了会导致牙周病的发生,导致牙齿松动脱落。甚至还会对自己的牙齿造成腐蚀,形成边缘性的龋齿,甚至牙齿由于龋齿导致牙髓炎和牙齿的断裂。
所以,做烤瓷牙修复一定要选择正规专业的医院,只有这样才能尽量避免烤瓷牙失败的可能。而且正规医院口碑好,更加负责,手术更有保障。广州比较好的烤瓷牙医院是哪家
广州越秀圣贝口腔门诊部口腔
广州越秀圣贝口腔门诊部口腔源自品牌“圣贝牙科”,是卫生厅认证的牙科机构,严格遵守卫生部对于口腔准入制度的所有要求,认真贯彻执行ISO9001: 2000质量管理体系的核心框架,符合连锁“五大标准体系”,确保消费者的合法权益。