!-->

据牙科介绍,牙齿缺损是一种常见的牙科疾病,是指牙齿的部分缺失。牙齿缺损在生活很是常见,严重危害人们的生活健康,对个人形象也有一定的影响,所以对于牙齿缺损一定要及时到医院治疗。那么,究竟有哪些原因会导致牙齿缺损呢?

导致牙齿缺损的原因:
1、龋病:表现为牙体硬组织的变色、脱钙软化和龋洞形成。
2、酸蚀:牙齿长期受到酸雾作用而脱钙,造成牙齿外形损害。
3、磨损:表现为牙冠面降低,常由不良咀嚼习惯及夜磨牙等引起。
4、外伤:外伤所致的牙缺损称为牙折。牙折常由牙冠受到意外撞击或咬硬物引起。
5、楔状缺损:通常是由于刷牙不当引起的,常表现为尖牙唇面、前磨牙颊面的牙颈部楔形凹陷缺损。
6、发育畸形:常见的为釉质发育不全,斑釉牙及过小牙等。牙冠呈白垩色或褐色斑,严重者则出现牙冠形态不完整,釉质钙化不良等。牙齿缺损能补吗
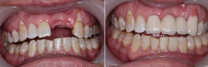
如果牙齿出现缺损,患者应该立即向牙科预约,以确定是否需要进行治疗。如果是由于撞伤而造成某颗牙齿完全脱落,要尽快带上脱落的牙齿到牙医处,可以通过“再植”使脱落的牙齿重新回到原位。如果是较轻的牙齿缺损,就要改变刷牙方法,并做脱敏处理。对于中度的牙齿缺损,就要进行牙体修复,缺损面积小的可以用充填法修复,缺损面积大可以用制作修复体的方法进行修复。而如果是重度的牙齿缺损,那就要进行牙髓治疗了。牙齿缺损一定要到正规医院治疗,注意多和沟通协商,不但可以减少治疗的复杂性,而且可以较快的有效恢复咀嚼功能,重建口腔外观。

广州越秀圣贝口腔门诊部口腔
广州越秀圣贝口腔门诊部口腔源自品牌“圣贝牙科”,拥有一个强大的口腔团队,汇聚了欧美、亚洲等连锁著名的牙科,广州交大、华西、四医大等名校的口腔知名教授,为圣贝医疗质量提供了强有力的保障。同时,圣贝牙科是卫生厅认证的牙科机构,严格遵守卫生部对于口腔准入制度的所有要求,认真贯彻执行ISO9001: 2000质量管理体系的核心框架,符合连锁“五大标准体系”,确保消费者的合法权益。