!-->

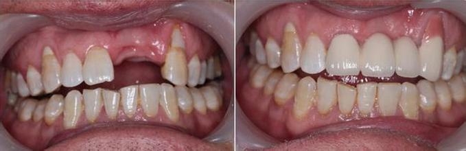
在生活中,牙齿缺失是不可避免的事情,导致牙齿缺失的原因也是多种多样。据牙科介绍,牙齿缺失会给人们的生活带来许多不便。首先牙齿缺失会严重影响个人形象,从而影响心理健康。其次牙齿缺失会影响身体健康,比如会造成牙齿松动、牙槽骨萎缩和其它一些口腔疾病。那么牙齿缺失该怎么办呢?

牙齿缺失就做种植牙
种植牙是目前连锁上流行、理想的牙齿修复方法之一。种植牙适合多种牙齿缺失的修复,可以获得与天然牙功能、结构以及美观效果十分相似的效果,摒弃了诸多传统假牙的缺点,已经成为越来越多缺牙患者的修复方式。
种植牙的优点:
1、对邻牙无损伤。传统镶牙要依靠邻牙来支撑,种植牙是独立的对邻牙无依靠,也无损伤。
2、使用范围较广。传统镶牙只适应于单颗牙或者多颗牙缺失,无法完成全口牙齿缺失的修复,更无法完成牙槽骨骨量不足等问题的修复。
3、咀嚼功能较好。传统镶牙具有活动假牙和固定假牙之分,活动假牙便于摘戴,但影响咀嚼功能,种植牙是固定种植义齿,保障了牙齿的咀嚼功能。
4、自然美观。种植牙是在牙齿上植入种植体然后在外面做上瓷冠,没有异物感。种植牙采用高科技的生物材料,具有很好的美感。
5、便于清洁。种植牙比传统假牙更容易清洁,种植牙没有金属卡环,对口腔。做种植牙后的注意事项有什么
广州种植牙到圣贝口腔
广州越秀圣贝口腔门诊部口腔是一家连锁医院,源自品牌,拥有的、温馨的环境、合理的价格,满意的口碑、成功的治疗案例是你治疗口腔疾病的首要选择,同时医院致力打造“您专属的私人牙医”,这种企划理念彰显了医院专业、权威、、奢华的定位和品质,也可体现医院的综合实力,是您较佳的选择。