!-->

牙齿发黄有什么危害吗?据牙科介绍,其实成年人正常健康的牙齿并不是洁白的,因为牙齿的颜色与肤色有关。一般来说,中国人的牙齿都是偏黄的,是淡黄色的。当然,许多爱美人士希望有一口洁白靓丽的牙齿,随着科技的发展,这并非难事。如果牙齿很黄,那就有问题了。

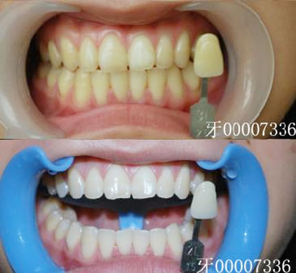
牙齿不是健康的黄色,那就是有问题了。一般来说,导致牙齿发黄的原因有三种。种是斑釉牙,又称为氟斑牙,为饮水中氟元素浓度过高所致。不仅会让牙齿牙齿表面发黄还会影响牙胚的钙化过程,凹凸不平,出现点状或条状凹陷性缺损。第二种是四环素牙,为怀孕期或儿童时期经常服用四环素所致。它在体内与钙质相结合,生成一种四环素钙的黄色复合物,沉积于牙冠上。 第三种是食用有颜色的食物且不注意口腔卫生,比如常喝咖啡、吸烟等所致。
牙齿很黄怎么办?
牙齿发黄一定要采用科学的方法,不能盲目的相信那些所谓的美白。美白牙齿就到广州越秀圣贝口腔门诊部口腔。广州越秀圣贝口腔门诊部口腔是一家连锁医院,源自品牌,采用的炫彩美白,是目前连锁上流行的牙齿美白方法之一。

炫彩美白的优势:
1、无损。炫彩美白前的洗牙、牙面抛光和护龈已经为牙齿牙龈做好了防御工作,不但不会对牙龈牙齿造成损伤,还有清洁保护作用,延长牙齿寿命。
2、快捷。炫彩美白全程只要30至45分钟完成,方便快捷,不影响正常生活和工作。
3、无痛。炫彩美白过程不会产生热量,所使用的亲水性材料有脱敏成分,所以无刺激性和疼痛感,让你在轻松舒适中完成牙齿健康与美白的蜕变。
4、长效。炫彩美白一般情况下护理得当可维持5年的美白效果,不会造成任何的交叉感染和后遗症。炫彩美白多少钱
广州越秀圣贝口腔门诊部口腔是卫生厅认证的牙科机构,严格遵守卫生部对于口腔准入制度的所有要求,认真贯彻执行ISO9001: 2000质量管理体系的核心框架,符合连锁“五大标准体系”,确保消费者的合法权益。