!-->

表示黑牙产生的原因有很多,比如长期饮用咖啡、浓茶、喝可乐、抽烟,嚼槟榔等都会使牙齿变黄、变黑。牙科连锁圣贝口腔介绍说有黑牙不用担心,患者应该前往正规的口腔医院进行检查,一般去除黑牙的有冷光美白和瓷贴面。那么,广州黑牙美白需要多少钱?下面就来为大家详细介绍。

广州黑牙美白需要多少钱?
介绍说影响黑牙美白的价格包括患者黑牙的程度,有的患者黑牙严重需要进行多次的治疗修复,需要的费用自然会多一点。此外,患者所选择的的医院综合水平也是影响黑牙多少钱的另一因素。一般的小诊所,因为医疗设备一般、水平参差不齐,黑白美白的价格就相对低一些,但是治疗的效果就有待考察。牙齿发黑是什么原因?
因此,黑牙美白需要多少钱,是不能给出一定的答案的,口腔建议有意清洗黑牙的或者做黑牙治疗的应该前往正规的口腔医院进行检查,根据个人具体情况对症下。

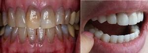
牙齿发黑美白方法
广州越秀圣贝口腔门诊部指出,牙齿美白对黑牙是有用的,目前的许多美白方式都能有效治疗黑牙。
黑牙的产生可能是由于日常的不良饮食习惯或者是物因素,但无论是哪一种都可以采用以下美白方式进行牙齿美白。
广州越秀圣贝口腔门诊部引进的炫彩美白系统是针对黑牙黄牙好的牙齿美白方法。
炫彩美白系统是目前连锁上先进的牙美白之一,它运用了光谱原理,采用低温蓝光,隔出一切有害的紫外线与红外线,完全避免了操作过程中的不适与刺激、对周围组织的副作用。
炫彩美白将高强度彩光定点照射,它不仅可以去除牙齿表面的色素沉积,及深层所附着的色素,美白效果持久有效,仅需短短的30分钟,即可让您拥有一口润白亮泽的牙齿。