!-->

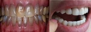
现如今,四环素牙是较为常见的牙齿问题,会直接影响个人形象,很多人会去医院进行处理,让自己恢复洁白的牙齿。牙科连锁机构广州越秀圣贝口腔门诊部口腔指出,美白固然重要,但治疗后还是要多注意些细节问题。那么,广州四环素牙治疗后要注意些什么呢?下面就来为大家详细介绍。

广州四环素牙治疗后要注意些什么呢?
介绍,四环素牙是指四环素族物引起的着色牙,属于口腔科疾病的一种。广州治疗四环素牙的费用
1、患者在治疗后的两个星期以内一定不要吃过于刺激的食品,比如麻辣烫、酸奶、冰淇淋等刺激性比较大的食物。
2、在治疗后的二十天之内牙齿有轻微发酸的现象,大家不要过分的担心,这是属于正常现象,但是如果患者的症状比较严重的话,要及时的到医院进行复诊。
3、四环素牙在治疗后,能够拥有洁白的牙齿,但患者还是要养成定期去医院洁牙的好习惯,这样才能更好的保护自己的牙齿。

选择品牌 信赖圣贝
圣贝牙科医院于1921年起源于,后来发展到了英国,美国和法国,2011年落户中国大陆;实力强大,短短不到两年的时间,圣贝已经在中国的西安,北京,上海,广州,成都拥有了数家连锁机构;群众口碑,圣贝在每座城市都享有盛誉,深得消费者的喜爱。我们广州越秀圣贝口腔门诊部的患者大多是由已经在广州越秀圣贝口腔门诊部就诊过的患者的,慕名而来的。口碑是一个品牌的生命线,广州越秀圣贝口腔门诊部这条生命线是广大患者建立起来的,并且现在由更多的患者对圣贝的喜爱和信赖不断地壮大起来。
此外,圣贝牙科全面践行连锁医疗无菌操作理念,在行业内率先实现"一人一诊室一治疗室一医一助一机一用一消毒"8个一无菌诊疗模式,有效地杜绝了肺结核、肝炎、等各种传染性疾病的交叉感染。在同行率先将灭菌消毒提升至16层,杜绝了因机器污染引发的感染,为顾客筑起了一道的屏障。