!-->

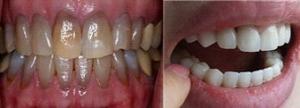
氟斑牙又叫斑釉,表现为牙齿出现着色的斑块或牙齿出现缺损,与饮用水中氟含量有关。氟本身对牙齿具有双重作用,饮用水中氟含量过适当有防龋作用,如果氟含量过高就会形成氟斑牙。所以氟斑牙一般发生高氟地区,那么氟斑牙有哪些危害呢?

氟斑牙按照其临床表现分为三种情况:
1、轻度氟斑牙。牙齿表面有白垩色条纹或不规则散布的小面积不透明区着色,但整个面积不超过牙面的1/2。
2、中度氟斑牙。牙齿形态无变化,但牙齿存在广泛着色,其牙齿颜色变黄或黑褐色。
3、重度氟斑牙。多数牙甚至全口牙出现黄褐色斑块,同时有线状、点状或窝沟状缺损,凹陷内有较深的染色,牙面失去光泽。
氟斑牙对摩擦的耐受性差,但对酸蚀的抵抗力强,牙齿极易损伤。因为氟斑牙使得牙齿蛮得不再光滑洁白,从而对个人的整体美观造成一定的影响,往往降低人的自信心,甚至产生自卑心理。同时氟斑牙是慢性氟中毒的表现,可有骨骼的增殖性变化,骨膜、韧带等均可钙化,并从而产生腰、腿和全身关节症状。所以对于氟斑牙一定要谨慎对待。广州哪里治疗氟斑牙好
广州越秀圣贝口腔门诊部口腔
广州越秀圣贝口腔门诊部口腔是一家连锁医院,专注齿科疾病的治疗,集口腔治疗、预防、保健、美容和修复等于一体,同时引进国外先进的齿科设备,是您解决牙齿疾病的。广州越秀圣贝口腔门诊部在发展中早已拥有一个强大的口腔团队,汇聚了欧美、亚洲等连锁著名的牙科,广州交大、华西、四医大等名校的口腔知名教授,为圣贝医疗质量提供了强有力的保障。圣贝连锁牙科连锁,是卫生厅认证的牙科机构,严格遵守卫生部对于口腔准入制度的所有要求,认真贯彻执行ISO9001: 2000质量管理体系的核心框架,符合连锁“五大标准体系”,确保消费者的合法权益。