!-->

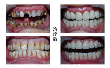
随着科技的发展,许多原本人们觉得不可思议的想法得以实现。种植牙是目前流行的补牙方式,是牙齿缺失者的福音。种植牙完全摒弃了传统假牙的缺点,受到许多人的追捧。那么在广州哪家医院做种植牙好呢?

广州越秀圣贝口腔门诊部植放心牙
广州越秀圣贝口腔门诊部口腔采用种植牙,是目前对口腔牙列缺损、牙列缺失修复的理想。圣贝牙科牙齿种植中心凭借种植系统风靡,以50年的传承、50万例成功见证打造出人类的第三副好牙。
种植牙的优势:
1、运用广泛,适用于牙齿缺损、牙列缺损、全口无牙。
2、品质坚硬,基台坚固,稳定性强。
3、大限度恢复正常咀嚼功能,咬合力达到正常牙的98.98%。
4、口感良好,无任何异物感,临床适应症高于98.98%,不良反应低于0.02%。
5、美学效果良好,大限度还原真牙形态。
6、定位准确,无其他损伤,种植体直接嵌入牙槽骨,不损伤相邻牙齿。
7、及时高效,1小时内即可完成单冠修复。广州单颗种植牙价格是多少?
广州越秀圣贝口腔门诊部口腔引进“极束星”断层牙 CT等先进牙齿种植系统,并在行业内率先采用8个1诊疗模式和16层净化消毒,实现亲诊,、治牙。同时圣贝的每一颗种植体均系原装进口,全部严格通过OHSAS18000连锁健康认证以及ISO9000连锁质量认证,种植体享受5年全国质保(5年内出现非人为原因损坏及质量问题均可免费维护和更换),并终身提供维护服务。
广州越秀圣贝口腔门诊部口腔一切以顾客为中心,预约过程中,你如果对治疗方案有疑问,团队会邀请您共同参加讨论,公开透明讲解,悉心为您解惑,制定您满意的治疗方案。并且每一步治疗都会事先取得客户患者的同意,在您做完牙齿治疗后回到家中,圣贝牙科的服务并未因此结束,圣贝牙科客服人员与您沟通,询问治疗后情况,享受服务附加值。