!-->

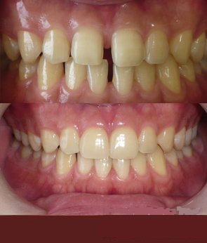
生活中一些人牙缝过大,常常给别人留下一个不好的形象,同时牙缝太大会嵌塞食物引起牙龈炎症和牙周疾病等。那么为什么牙缝会变大呢?

介绍:导致牙缝变大的原因有许多,主要有以下几方面。
1、龋齿。牙齿的邻面有龋坏,造成牙齿之间的间隙增宽。
2、嵌塞食物。牙齿长期嵌塞食物,食物嵌入牙间隙,压迫牙龈组织,可发生牙龈乳头的炎症性退缩,进而加大牙缝。
4、牙齿移位。移位的牙齿埋伏于门牙牙根之间,从而导致门牙间隙过宽。
6、牙龈萎缩。机械刺激、不正确的刷牙方式、牙龈炎症和牙周疾病时,引起牙龈萎缩,牙缝就越来越大。
7、牙周炎。牙周炎患者的牙槽骨吸收,导致牙齿松动而引起间隙过大,
8、矫正治疗。在牙齿正畸矫正治疗过程中,牙齿由于位置需要重建会形成暂时性间隙,在治疗结实之后,会关闭间隙。
9、剔牙。经常用牙签剔牙会使牙缝变大。
牙缝变大会影响身体健康,应该及早到正规的医院检查,找出病因,并以与治疗。同时养成良好的口腔习惯,定期看牙,预防牙齿疾病。牙缝过大怎么办
广州越秀圣贝口腔门诊部口腔
广州越秀圣贝口腔门诊部在发展中早已拥有一个强大的口腔团队,汇聚了欧美、亚洲等连锁著名的牙科,广州交大、华西、四医大等名校的口腔知名教授,为圣贝医疗质量提供了强有力的保障。同时圣贝连锁牙科连锁,是卫生厅认证的牙科机构,严格遵守卫生部对于口腔准入制度的所有要求,认真贯彻执行ISO9001: 2000质量管理体系的核心框架,符合连锁“五大标准体系”,确保消费者的合法权益。