!-->

日常生活中,有很多的孩子牙齿会出现发黑的现象,但是家长们都是不知道是怎么回事,不了解孩子牙齿发黑的原因,就不能及时有效的治疗。下面广州越秀圣贝口腔门诊部口腔就来为大家详细介绍。

孩子牙齿发黑有哪些原因?
一、卫生习惯。孩子平时不注意口腔卫生,家长朋友需要注意孩子的口腔卫生,要让孩子少吃甜食,养成早晚各刷一次牙齿。如果宝宝太小不会刷牙的话,家长朋友可以帮助孩子清洁口腔。牙齿发黄发黑怎么治疗?
二、牙釉质发育不全。有些孩子牙釉质发育不全,导致牙齿中的钙质偏少,牙齿表面粗糙,很容易导致食物残渣残留,时间一长就会在牙齿表面形成菌斑,菌斑内的细菌不断分解食物,产生大量的有机酸,腐蚀釉质不全的牙齿,牙齿的颜色就会慢慢变褐、变黑,终脱落。
三、水质的原因。在有些地方,水中的含氟量较高,过多的饮用含氟量过多的水或者使用含氟牙膏等,氟元素过多的沉积在体内,形成氟斑牙,就会导致牙齿发黄发黑。
四、日常饮食。孩子的牙齿变黑会根据日常饮食有一定关系的。有些事物中含有色素极易导致牙齿染色,比如:中、碳酸饮料等,色素会停留在牙齿表面,导致牙齿变黑。
五、龋齿、牙髓坏死。如果孩子牙齿严重龋坏或者受到外伤,就会导致牙齿发黑。牙髓坏死导致牙质变软变脆,牙齿颜色慢慢变黑。

牙齿美白方法
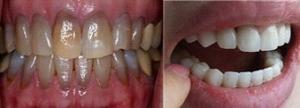
广州越秀圣贝口腔门诊部指出,牙齿美白对黑牙是有用的,目前的许多美白方式都能有效治疗黑牙。
黑牙的产生可能是由于日常的不良饮食习惯或者是物因素,但无论是哪一种都可以采用以下美白方式进行牙齿美白。
广州越秀圣贝口腔门诊部引进的炫彩美白系统是针对黑牙黄牙好的牙齿美白方法。
炫彩美白系统是目前连锁上先进的牙美白之一,它运用了光谱原理,采用低温蓝光,隔出一切有害的紫外线与红外线,完全避免了操作过程中的不适与刺激、对周围组织的副作用。
炫彩美白将高强度彩光定点照射,它不仅可以去除牙齿表面的色素沉积,及深层所附着的色素,美白效果持久有效,仅需短短的30分钟,即可让您拥有一口润白亮泽的牙齿。