!-->

目前牙齿矫正没有年龄限制了,但是,成人牙齿矫正还是与儿童牙齿矫正有一定不同的,应该引起重视,正确认识。那么,成人牙齿矫正有什么不同呢?下面广州越秀圣贝口腔门诊部口腔就来为大家详细介绍。

介绍,成人牙齿矫正还是有一定难度的。此外,成年人牙周病患者对牙槽骨吸收又有高度敏感性,使矫治受到一定的限制。广州看牙选哪家医院好?
成人牙齿矫正是怎样的?
、成人牙齿矫正治疗实施前的检查不能完全发现的潜在性或静止性的牙髓、牙周疾患或未能预测的问题,在正畸治疗过程中,可能引起病灶的活跃。出现疼痛、溢脓、牙齿松动等症状时必须暂时中断正畸治疗,待病变牙齿接受牙髓、牙周治疗后,方能再继续成人牙齿矫正。
第二、成人牙齿矫正过程中,牙槽骨容易吸收,为避免此种情况的出现,成年人在关闭拔牙间隙时有时还需要借助于镶牙等修复方法。

广州越秀圣贝口腔门诊部口腔
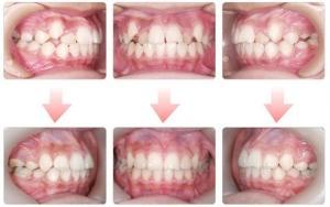
广州越秀圣贝口腔门诊部口腔采用引进——美颜正畸系统。在不磨牙不戴冠的情况下,将韩国微整形美容(颌面外科手术)与数控隐形矫正(牙齿矫 正)相结合,在实现健康矫正的同时,利用矫正牙齿过程中的骨移动原理,重新改造面部形态的骨骼群,终实现面部“整形”。美颜正畸系统舒适,矫正过程毫不痛苦,并将矫正周期从传统的1-2年缩短到9个月。
广州越秀圣贝口腔门诊部口腔拥有的、温馨的环境、合理的价格,满意的口碑、成功的治疗案例是你治疗口腔疾病的首要选择,同时医院致力打造“您专属的私人牙医”,这种企划理念彰显了医院专业、权威、、奢华的定位和品质,也可体现医院的综合实力,是您较佳的选择。